COX5B antibody [N1C3]

Cat. No. GTX101486
Cat. No.  GTX101486
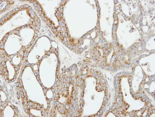
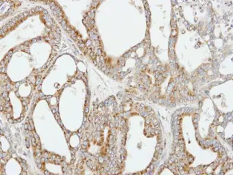
Anti-COX5B antibody [N1C3] used in IHC (Paraffin sections) (IHC-P). GTX101486
GTX101486 IHC-P Image

Immunohistochemical analysis of paraffin-embedded H441 xenograft, using COX5B(GTX101486) antibody at 1:100 dilution.
Antigen Retrieval: Trilogy™ (EDTA based, pH 8.0) buffer, 15min

1 / 2
Anti-COX5B antibody [N1C3] used in Western Blot (WB). GTX101486
GTX101486 WB Image

Sample(30 μg of whole cell lysate)
A:Hep G2(GTX27900)
15% SDS PAGE
GTX101486 diluted at 1:1000

2 / 2
Anti-COX5B antibody [N1C3] used in IHC (Paraffin sections) (IHC-P). GTX101486
Anti-COX5B antibody [N1C3] used in Western Blot (WB). GTX101486
  • Host
    Rabbit
  • Clonality
    Polyclonal
  • Isotype
    IgG
  • Applications
    WB IHC-P
  • Reactivity
    Human
See all COX5B products