COX7B2 antibody [N1C3]

Cat. No. GTX110995
Cat. No.  GTX110995
Anti-COX7B2 antibody [N1C3] used in Immunocytochemistry/ Immunofluorescence (ICC/IF). GTX110995
GTX110995 ICC/IF Image

Immunofluorescence analysis of paraformaldehyde-fixed A431, using COX7B2(GTX110995) antibody at 1:200 dilution.

1 / 3
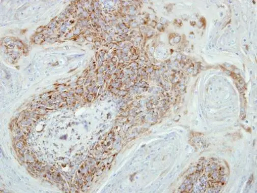
Anti-COX7B2 antibody [N1C3] used in IHC (Paraffin sections) (IHC-P). GTX110995
GTX110995 IHC-P Image

Immunohistochemical analysis of paraffin-embedded Cal27 xenograft, using COX7B2(GTX110995) antibody at 1:500 dilution.
Antigen Retrieval: Trilogy™ (EDTA based, pH 8.0) buffer, 15min

2 / 3
Anti-COX7B2 antibody [N1C3] used in Western Blot (WB). GTX110995
GTX110995 WB Image

Sample (30 ug of whole cell lysate)
A: A431 (GTX27909)
15% SDS PAGE
GTX110995 diluted at 1:1000

3 / 3
Anti-COX7B2 antibody [N1C3] used in Immunocytochemistry/ Immunofluorescence (ICC/IF). GTX110995
Anti-COX7B2 antibody [N1C3] used in IHC (Paraffin sections) (IHC-P). GTX110995
Anti-COX7B2 antibody [N1C3] used in Western Blot (WB). GTX110995
  • Host
    Rabbit
  • Clonality
    Polyclonal
  • Isotype
    IgG
  • Applications
    WB ICC/IF IHC-P
  • Reactivity
    Human
See all COX7B2 products