CPA2 antibody [HL5200]

Cat. No. GTX645452
Cat. No.  GTX645452
Anti-CPA2 antibody [HL5200] used in Western Blot (WB). GTX645452
GTX645452 WB Image

Various tissue extracts (50 μg) were separated by 10% SDS-PAGE, and the membrane was blotted with CPA2 antibody [HL5200] (GTX645452) diluted at 1:1000. The HRP-conjugated anti-rabbit IgG antibody (GTX213110-01) was used to detect the primary antibody.

1 / 5
Anti-CPA2 antibody [HL5200] used in IHC (Paraffin sections) (IHC-P). GTX645452
GTX645452 IHC-P Image

CPA2 antibody [HL5200] detects CPA2 protein by immunohistochemical analysis.
Sample: Paraffin-embedded human tissues.
CPA2 stained by CPA2 antibody [HL5200] (GTX645452) diluted at 1:2500.
Antigen Retrieval: Tris-EDTA buffer, pH 9.0, 15 min

2 / 5
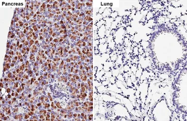
Anti-CPA2 antibody [HL5200] used in IHC (Paraffin sections) (IHC-P). GTX645452
GTX645452 IHC-P Image

CPA2 antibody [HL5200] detects CPA2 protein by immunohistochemical analysis.
Sample: Paraffin-embedded mouse tissues.
CPA2 stained by CPA2 antibody [HL5200] (GTX645452) diluted at 1:2500.
Antigen Retrieval: Tris-EDTA buffer, pH 9.0, 15 min

3 / 5
Anti-CPA2 antibody [HL5200] used in Western Blot (WB). GTX645452
GTX645452 WB Image

Various tissue extracts (30 μg) were separated by 10% SDS-PAGE, and the membrane was blotted with CPA2 antibody [HL5200] (GTX645452) diluted at 1:1000. The HRP-conjugated anti-rabbit IgG antibody (GTX213110-01) was used to detect the primary antibody. Corresponding RNA expression data are based on NCBI database.

4 / 5
Anti-CPA2 antibody [HL5200] used in Western Blot (WB). GTX645452
GTX645452 WB Image

Various tissue extracts (50 μg) were separated by 10% SDS-PAGE, and the membrane was blotted with CPA2 antibody [HL5200] (GTX645452) diluted at 1:1000. The HRP-conjugated anti-rabbit IgG antibody (GTX213110-01) was used to detect the primary antibody.

5 / 5
Anti-CPA2 antibody [HL5200] used in Western Blot (WB). GTX645452
Anti-CPA2 antibody [HL5200] used in IHC (Paraffin sections) (IHC-P). GTX645452
Anti-CPA2 antibody [HL5200] used in IHC (Paraffin sections) (IHC-P). GTX645452
Anti-CPA2 antibody [HL5200] used in Western Blot (WB). GTX645452
Anti-CPA2 antibody [HL5200] used in Western Blot (WB). GTX645452
  • Host
    Rabbit
  • Clonality
    Monoclonal
  • Clone Name
    HL5200
  • Isotype
    IgG
  • Applications
    WB IHC-P
  • Reactivity
    Human, Mouse
See all CPA2 products