CREB antibody

Cat. No. GTX56252
Cat. No.  GTX56252
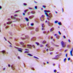
Anti-CREB antibody used in IHC (Paraffin sections) (IHC-P). GTX56252
GTX56252 IHC-P Image

IHC-P analysis of formalin fixed human breast cancer tissue section using GTX56252 CREB antibody.
Antigen retrieval : Heat mediated antigen retrieval with sodium citrate buffer (pH 6.0)

1 / 3
Anti-CREB antibody used in Immunocytochemistry/ Immunofluorescence (ICC/IF). GTX56252
GTX56252 ICC/IF Image

ICC/IF analysis of formalin-fixed MCF7 cells using GTX56252 CREB antibody.
Red : Primary antibody
Blue : DAPI
Permeabilization : 0.1% Triton X-100 in TBS for 5-10 minutes

2 / 3
Anti-CREB antibody used in Western Blot (WB). GTX56252
GTX56252 WB Image

WB analysis of MCF7 (A), mouse brain (B), rat brain (C) whole cell lysates using GTX56252 CREB antibody.

3 / 3
Anti-CREB antibody used in IHC (Paraffin sections) (IHC-P). GTX56252
Anti-CREB antibody used in Immunocytochemistry/ Immunofluorescence (ICC/IF). GTX56252
Anti-CREB antibody used in Western Blot (WB). GTX56252
  • Host
    Rabbit
  • Clonality
    Polyclonal
  • Isotype
    IgG
  • Applications
    WB ICC/IF IHC-P
  • Reactivity
    Human, Mouse, Rat
See all CREB products