CREB (phospho Ser129) antibody

Cat. No. GTX50296
Cat. No.  GTX50296
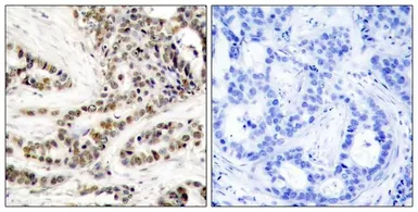
Anti-CREB (phospho Ser129) antibody used in IHC (Paraffin sections) (IHC-P). GTX50296
GTX50296 IHC-P Image

IHC-P analysis of human breast carcinoma tissue using GTX50296 CREB (phospho Ser129) antibody.
Left : Primary antibody
Right : Primary antibody pre-incubated with the antigen specific peptide

1 / 2
Anti-CREB (phospho Ser129) antibody used in Western Blot (WB). GTX50296
GTX50296 WB Image

WB analysis of extracts from 293 cells untreated (lane 1) or treated with UV (lane 2) using GTX50296 CREB (phospho Ser129) antibody.

2 / 2
Anti-CREB (phospho Ser129) antibody used in IHC (Paraffin sections) (IHC-P). GTX50296
Anti-CREB (phospho Ser129) antibody used in Western Blot (WB). GTX50296
  • Host
    Rabbit
  • Clonality
    Polyclonal
  • Isotype
    IgG
  • Applications
    WB IHC-P
  • Reactivity
    Human
See all CREB products