CREB (phospho Ser129) antibody

Cat. No. GTX79099
Cat. No.  GTX79099
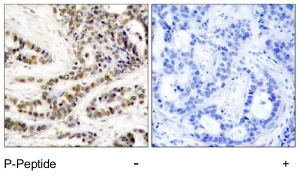
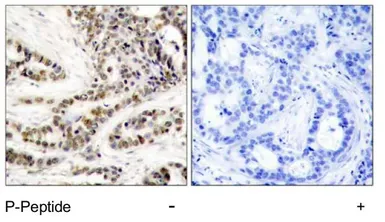
Anti-CREB (phospho Ser129) antibody used in IHC (Paraffin sections) (IHC-P). GTX79099
GTX79099 IHC-P Image

IHC-P analysis of human breast carcinoma tissue using GTX79099 CREB (phospho Ser129) antibody.

1 / 2
Anti-CREB (phospho Ser129) antibody used in Western Blot (WB). GTX79099
GTX79099 WB Image

WB analysis of 293 cells untreated or treated with UV lysates using GTX79099 CREB (phospho Ser129) antibody (Lane 3 and 4) and CREB antibody (Lane 1 and 2).

2 / 2
Anti-CREB (phospho Ser129) antibody used in IHC (Paraffin sections) (IHC-P). GTX79099
Anti-CREB (phospho Ser129) antibody used in Western Blot (WB). GTX79099
  • Host
    Rabbit
  • Clonality
    Polyclonal
  • Isotype
    IgG
  • Applications
    WB IHC-P
  • Reactivity
    Human
See all CREB products