CREB (phospho Ser142) antibody

Cat. No. GTX55056
Cat. No.  GTX55056
Anti-CREB (phospho Ser142) antibody used in Western Blot (WB). GTX55056
GTX55056 WB Image

WB analysis of UV-treated HeLa (A), rat muscle (B) whole cell lysates using GTX55056 CREB (phospho Ser142) antibody.

1 / 3
Anti-CREB (phospho Ser142) antibody used in Immunocytochemistry/ Immunofluorescence (ICC/IF). GTX55056
GTX55056 ICC/IF Image

ICC/IF analysis of formalin-fixed HeLa cells using GTX55056 CREB (phospho Ser142) antibody.
Red : Primary antibody
Blue : DAPI
Permeabilization : 0.1% Triton X-100 in TBS for 5-10 minutes

2 / 3
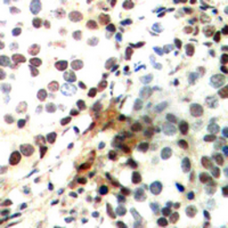
Anti-CREB (phospho Ser142) antibody used in IHC (Paraffin sections) (IHC-P). GTX55056
GTX55056 IHC-P Image

IHC-P analysis of formalin fixed human breast cancer tissue section using GTX55056 CREB (phospho Ser142) antibody.
Antigen retrieval : Heat mediated antigen retrieval with sodium citrate buffer (pH 6.0)

3 / 3
Anti-CREB (phospho Ser142) antibody used in Western Blot (WB). GTX55056
Anti-CREB (phospho Ser142) antibody used in Immunocytochemistry/ Immunofluorescence (ICC/IF). GTX55056
Anti-CREB (phospho Ser142) antibody used in IHC (Paraffin sections) (IHC-P). GTX55056
  • Host
    Rabbit
  • Clonality
    Polyclonal
  • Isotype
    IgG
  • Applications
    WB ICC/IF IHC-P
  • Reactivity
    Human, Rat
See all CREB products