CREB (phospho Ser142) antibody

Cat. No. GTX79098
Cat. No.  GTX79098
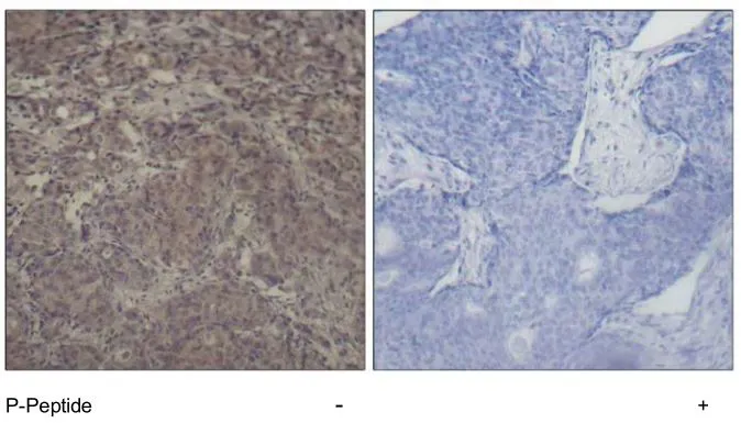
Anti-CREB (phospho Ser142) antibody used in IHC (Paraffin sections) (IHC-P). GTX79098
GTX79098 IHC-P Image

IHC-P analysis of human breast carcinoma tissue using GTX79098 CREB (phospho Ser142) antibody.

1 / 1
Anti-CREB (phospho Ser142) antibody used in IHC (Paraffin sections) (IHC-P). GTX79098
  • Host
    Rabbit
  • Clonality
    Polyclonal
  • Isotype
    IgG
  • Applications
    IHC-P
  • Reactivity
    Human
See all CREB products