CRK antibody [3G11C1]

Cat. No. GTX60487
Cat. No.  GTX60487
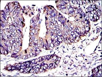
Anti-CRK antibody [3G11C1] used in IHC (Paraffin sections) (IHC-P). GTX60487
GTX60487 IHC-P Image

IHC-P analysis of bladder cancer tissue using GTX60487 CRK antibody [3G11C1].

1 / 7
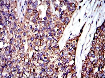
Anti-CRK antibody [3G11C1] used in IHC (Paraffin sections) (IHC-P). GTX60487
GTX60487 IHC-P Image

IHC-P analysis of rectum cancer tissue using GTX60487 CRK antibody [3G11C1].

2 / 7
Anti-CRK antibody [3G11C1] used in ELISA (ELISA). GTX60487
GTX60487 ELISA Image

ELISA analysis of antigen using GTX60487 CRK antibody [3G11C1].
Red : Control antigen 100ng
Purple : Antigen 10ng
Green : Antigen 50ng
Blue : Antigen 100ng

3 / 7
Anti-CRK antibody [3G11C1] used in Western Blot (WB). GTX60487
GTX60487 WB Image

WB analysis of HEK293 (1) and CRK(AA: 1-204)-hIgGFc transfected HEK293 (2) cell lysate using GTX60487 CRK antibody [3G11C1].

4 / 7
Anti-CRK antibody [3G11C1] used in Immunocytochemistry/ Immunofluorescence (ICC/IF). GTX60487
GTX60487 ICC/IF Image

ICC/IF analysis of 3T3-L1 cells using GTX60487 CRK antibody [3G11C1].
Green : CRK
Blue: DRAQ5 fluorescent DNA dye
Red: Actin filaments

5 / 7
Anti-CRK antibody [3G11C1] used in Western Blot (WB). GTX60487
GTX60487 WB Image

WB analysis of human CRK (AA: 1-204) recombinant protein using GTX60487 CRK antibody [3G11C1].

6 / 7
Anti-CRK antibody [3G11C1] used in Flow cytometry (FCM). GTX60487
GTX60487 FCM Image

FACS analysis of MCF-7 cells using GTX60487 CRK antibody [3G11C1].
Blue : CRK
Red : negative control

7 / 7
Anti-CRK antibody [3G11C1] used in IHC (Paraffin sections) (IHC-P). GTX60487
Anti-CRK antibody [3G11C1] used in IHC (Paraffin sections) (IHC-P). GTX60487
Anti-CRK antibody [3G11C1] used in ELISA (ELISA). GTX60487
Anti-CRK antibody [3G11C1] used in Western Blot (WB). GTX60487
Anti-CRK antibody [3G11C1] used in Immunocytochemistry/ Immunofluorescence (ICC/IF). GTX60487
Anti-CRK antibody [3G11C1] used in Western Blot (WB). GTX60487
Anti-CRK antibody [3G11C1] used in Flow cytometry (FCM). GTX60487
  • Host
    Mouse
  • Clonality
    Monoclonal
  • Clone Name
    3G11C1
  • Isotype
    IgG2b
  • Applications
    WB ICC/IF IHC-P FCM ELISA
  • Reactivity
    Human, Mouse
See all CRK products