CRK antibody [3G11E8]

Cat. No. GTX60488
Cat. No.  GTX60488
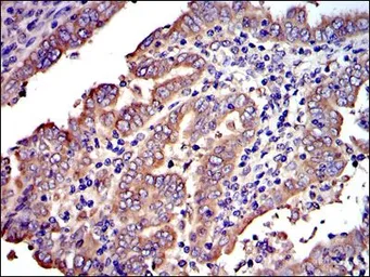
Anti-CRK antibody [3G11E8] used in IHC (Paraffin sections) (IHC-P). GTX60488
GTX60488 IHC-P Image

IHC-P analysis of intima cancer tissue using GTX60488 CRK antibody [3G11E8].

1 / 7
Anti-CRK antibody [3G11E8] used in Western Blot (WB). GTX60488
GTX60488 WB Image

WB analysis of human CRK (AA: 1-204) recombinant protein using GTX60488 CRK antibody [3G11E8].

2 / 7
Anti-CRK antibody [3G11E8] used in Immunocytochemistry/ Immunofluorescence (ICC/IF). GTX60488
GTX60488 ICC/IF Image

ICC/IF analysis of 3T3-L1 cells using GTX60488 CRK antibody [3G11E8].
Green : CRK
Blue: DRAQ5 fluorescent DNA dye
Red: Actin filaments

3 / 7
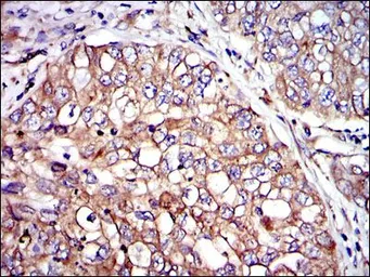
Anti-CRK antibody [3G11E8] used in IHC (Paraffin sections) (IHC-P). GTX60488
GTX60488 IHC-P Image

IHC-P analysis of lung cancer tissue using GTX60488 CRK antibody [3G11E8].

4 / 7
Anti-CRK antibody [3G11E8] used in ELISA (ELISA). GTX60488
GTX60488 ELISA Image

ELISA analysis of antigen using GTX60488 CRK antibody [3G11E8].
Red : Control antigen 100ng
Purple : Antigen 10ng
Green : Antigen 50ng
Blue : Antigen 100ng

5 / 7
Anti-CRK antibody [3G11E8] used in Flow cytometry (FCM). GTX60488
GTX60488 FCM Image

FACS analysis of HeLa cells using GTX60488 CRK antibody [3G11E8].
Blue : CRK
Red : negative control

6 / 7
Anti-CRK antibody [3G11E8] used in Western Blot (WB). GTX60488
GTX60488 WB Image

WB analysis of HEK293 (1) and CRK(AA: 1-204)-hIgGFc transfected HEK293 (2) cell lysate using GTX60488 CRK antibody [3G11E8].

7 / 7
Anti-CRK antibody [3G11E8] used in IHC (Paraffin sections) (IHC-P). GTX60488
Anti-CRK antibody [3G11E8] used in Western Blot (WB). GTX60488
Anti-CRK antibody [3G11E8] used in Immunocytochemistry/ Immunofluorescence (ICC/IF). GTX60488
Anti-CRK antibody [3G11E8] used in IHC (Paraffin sections) (IHC-P). GTX60488
Anti-CRK antibody [3G11E8] used in ELISA (ELISA). GTX60488
Anti-CRK antibody [3G11E8] used in Flow cytometry (FCM). GTX60488
Anti-CRK antibody [3G11E8] used in Western Blot (WB). GTX60488
  • Host
    Mouse
  • Clonality
    Monoclonal
  • Clone Name
    3G11E8
  • Isotype
    IgG2b
  • Applications
    WB ICC/IF IHC-P FCM ELISA
  • Reactivity
    Human, Mouse
See all CRK products