CRK antibody

Cat. No. GTX55580
Cat. No.  GTX55580
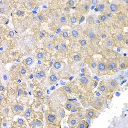
Anti-CRK antibody used in IHC (Paraffin sections) (IHC-P). GTX55580
GTX55580 IHC-P Image

IHC-P analysis of human liver cancer tissue using GTX55580 CRK antibody.
Dilution : 1:200

1 / 2
Anti-CRK antibody used in Western Blot (WB). GTX55580
GTX55580 WB Image

WB analysis of various sample lysates using GTX55580 CRK antibody.
Dilution : 1:1000
Loading : 25μg per lane

2 / 2
Anti-CRK antibody used in IHC (Paraffin sections) (IHC-P). GTX55580
Anti-CRK antibody used in Western Blot (WB). GTX55580
  • Host
    Rabbit
  • Clonality
    Polyclonal
  • Isotype
    IgG
  • Applications
    WB IHC-P
  • Reactivity
    Human, Mouse
See all CRK products