CRK (phospho Tyr221) antibody

Cat. No. GTX79097
Cat. No.  GTX79097
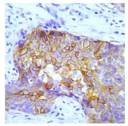
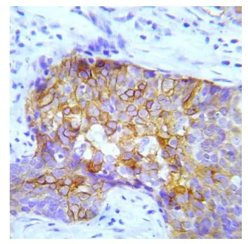
Anti-CRK (phospho Tyr221) antibody used in IHC (Paraffin sections) (IHC-P). GTX79097
GTX79097 IHC-P Image

IHC-P analysis of human lung adenocarcinoma tissue using GTX79097 CRK (phospho Tyr221) antibody.

1 / 1
Anti-CRK (phospho Tyr221) antibody used in IHC (Paraffin sections) (IHC-P). GTX79097
  • Host
    Rabbit
  • Clonality
    Polyclonal
  • Isotype
    IgG
  • Applications
    IHC-P
  • Reactivity
    Human
See all CRK products