CTGF antibody

Cat. No. GTX37727
Cat. No.  GTX37727
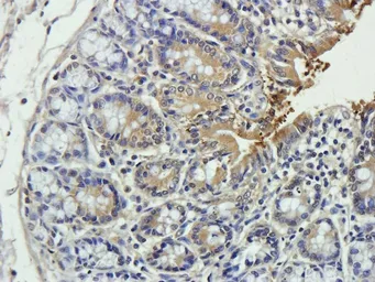
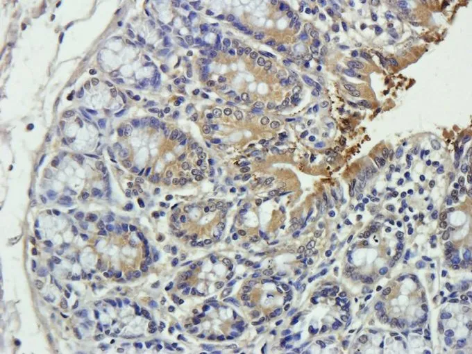
Anti-CTGF antibody used in IHC (Paraffin sections) (IHC-P). GTX37727
GTX37727 IHC-P Image

IHC-P analysis of rat large intestines tissue using GTX37727 CTGF antibody.
Dilution : 2.5μg/ml

1 / 4
Anti-CTGF antibody used in IHC (Paraffin sections) (IHC-P). GTX37727
GTX37727 IHC-P Image

IHC-P analysis of mouse bone marrow tissue using GTX37727 CTGF antibody.
Dilution : 2.5μg/ml

2 / 4
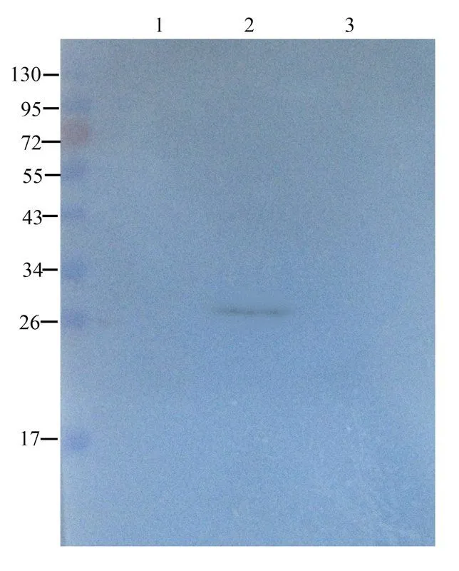
Anti-CTGF antibody used in Western Blot (WB). GTX37727
GTX37727 WB Image

WB analysis of rat thymus (Lane 1), mouse brain (Lane 2), HeLa cell (Lane 3) lysates using GTX37727 CTGF antibody.
Dilution : 1μg/ml

3 / 4
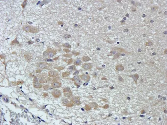
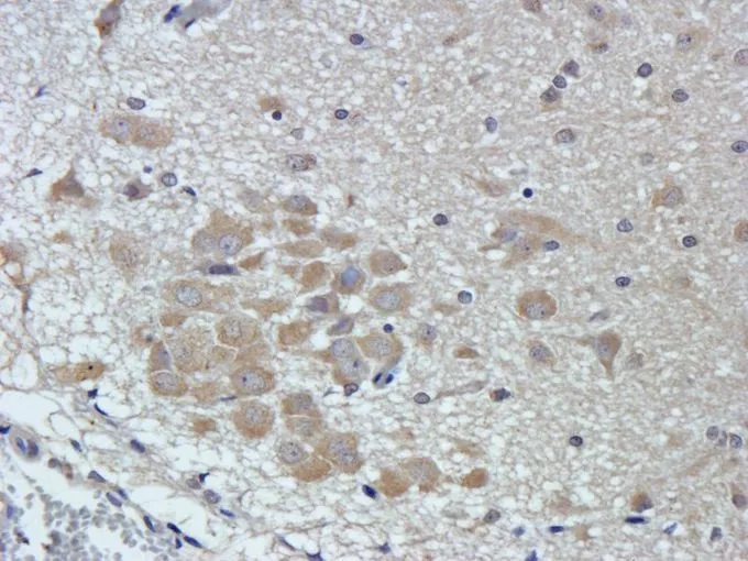
Anti-CTGF antibody used in IHC (Paraffin sections) (IHC-P). GTX37727
GTX37727 IHC-P Image

IHC-P analysis of rat brain tissue using GTX37727 CTGF antibody.
Dilution : 2.5μg/ml

4 / 4
Anti-CTGF antibody used in IHC (Paraffin sections) (IHC-P). GTX37727
Anti-CTGF antibody used in IHC (Paraffin sections) (IHC-P). GTX37727
Anti-CTGF antibody used in Western Blot (WB). GTX37727
Anti-CTGF antibody used in IHC (Paraffin sections) (IHC-P). GTX37727
  • Host
    Rabbit
  • Clonality
    Polyclonal
  • Isotype
    IgG
  • Applications
    WB IHC-P
  • Reactivity
    Human, Mouse, Rat
See all CTGF products