CTRP7 antibody

Cat. No. GTX85501
Cat. No.  GTX85501
Anti-CTRP7 antibody used in Western Blot (WB). GTX85501
GTX85501 WB Image

WB analysis of 3T3 cell lysate using GTX85501 CTRP7 antibody.
Working concentration : (A) 1, (B) 2, and (C) 4 μg/ml

1 / 2
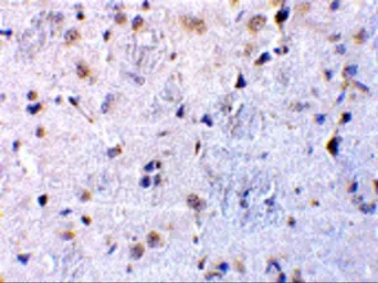
Anti-CTRP7 antibody used in IHC (Paraffin sections) (IHC-P). GTX85501
GTX85501 IHC-P Image

IHC-P analysis of rat brain tissue using GTX85501 CTRP7 antibody.
Working concentration : 10 μg/ml

2 / 2
Anti-CTRP7 antibody used in Western Blot (WB). GTX85501
Anti-CTRP7 antibody used in IHC (Paraffin sections) (IHC-P). GTX85501
  • Host
    Rabbit
  • Clonality
    Polyclonal
  • Isotype
    IgG
  • Applications
    WB IHC-P ELISA
  • Reactivity
    Human, Mouse, Rat
See all CTRP7 products