CTTNBP2NL antibody [N1N3]

Cat. No. GTX119828
Cat. No.  GTX119828
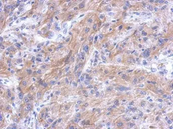
Anti-CTTNBP2NL antibody [N1N3] used in IHC (Paraffin sections) (IHC-P). GTX119828
GTX119828 IHC-P Image

Immunohistochemical analysis of paraffin-embedded U373 xenograft, using CTTNBP2NL(GTX119828) antibody at 1:500 dilution.
Antigen Retrieval: Trilogy™ (EDTA based, pH 8.0) buffer, 15min

1 / 3
Anti-CTTNBP2NL antibody [N1N3] used in Western Blot (WB). GTX119828
GTX119828 WB Image

Sample (30 ug of whole cell lysate)
A: 293T
7.5% SDS PAGE
GTX119828 diluted at 1:3000

2 / 3
Anti-CTTNBP2NL antibody [N1N3] used in Western Blot (WB). GTX119828
GTX119828 WB Image

The data was published in the journal PLoS Comput Biol in 2011. PMID: 22219718

3 / 3
Anti-CTTNBP2NL antibody [N1N3] used in IHC (Paraffin sections) (IHC-P). GTX119828
Anti-CTTNBP2NL antibody [N1N3] used in Western Blot (WB). GTX119828
Anti-CTTNBP2NL antibody [N1N3] used in Western Blot (WB). GTX119828
  • Host
    Rabbit
  • Clonality
    Polyclonal
  • Isotype
    IgG
  • Applications
    WB IHC-P
  • Reactivity
    Human
See all CTTNBP2NL products