CXCL16 antibody [GT516]

Cat. No. GTX632502
Cat. No.  GTX632502
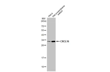
Anti-CXCL16 antibody [GT516] used in Western Blot (WB). GTX632502
GTX632502 WB Image

HeLa whole cell and membrane extracts (30 μg) were separated by 12% SDS-PAGE, and the membrane was blotted with CXCL16 antibody [GT516] (GTX632502) diluted at 1:1000. The HRP-conjugated anti-mouse IgG antibody (GTX213111-01) was used to detect the primary antibody.

1 / 5
Anti-CXCL16 antibody [GT516] used in IHC (Paraffin sections) (IHC-P). GTX632502
GTX632502 IHC-P Image

CXCL16 antibody [GT516] detects CXCL16 protein at cytoplasm in rat lymph node by immunohistochemical analysis.
Sample: Paraffin-embedded rat lymph node.
CXCL16 antibody [GT516] (GTX632502) diluted at 1:200.

Antigen Retrieval: Citrate buffer, pH 6.0, 15 min

2 / 5
Anti-CXCL16 antibody [GT516] used in Immunocytochemistry/ Immunofluorescence (ICC/IF). GTX632502
GTX632502 ICC/IF Image

CXCL16 antibody [GT516] detects CXCL16 protein at cytoplasm by immunofluorescent analysis.
Sample: HeLa cells were fixed in 4% paraformaldehyde at RT for 15 min.
Green: CXCL16 stained by CXCL16 antibody [GT516] (GTX632502) diluted at 1:500.
Red: beta Tubulin, a cytoskeleton marker, stained by beta Tubulin antibody (GTX101279) diluted at 1:1000.
Blue: Fluoroshield with DAPI (GTX30920).
Scale bar= 10μm.

3 / 5
Anti-CXCL16 antibody [GT516] used in Western Blot (WB). GTX632502
GTX632502 WB Image

Non-transfected (–) and transfected (+) 293T whole cell extracts (30 μg) were separated by 12% SDS-PAGE, and the membrane was blotted with CXCL16 antibody [GT516] (GTX632502) diluted at 1:1000. The HRP-conjugated anti-mouse IgG antibody (GTX213111-01) was used to detect the primary antibody.

4 / 5
Anti-CXCL16 antibody [GT516] used in Western Blot (WB). GTX632502
GTX632502 WB Image

HeLa whole cell extract and membrane extracts (30 μg) were separated by 12% SDS-PAGE, and the membrane was blotted with CXCL16 antibody [GT516] (GTX632502) diluted at 1:1000. The HRP-conjugated anti-mouse IgG antibody (GTX213111-01) was used to detect the primary antibody. (WCE: whole cell extract; ME: membrane extract)

5 / 5
Anti-CXCL16 antibody [GT516] used in Western Blot (WB). GTX632502
Anti-CXCL16 antibody [GT516] used in IHC (Paraffin sections) (IHC-P). GTX632502
Anti-CXCL16 antibody [GT516] used in Immunocytochemistry/ Immunofluorescence (ICC/IF). GTX632502
Anti-CXCL16 antibody [GT516] used in Western Blot (WB). GTX632502
Anti-CXCL16 antibody [GT516] used in Western Blot (WB). GTX632502
  • Host
    Mouse
  • Clonality
    Monoclonal
  • Clone Name
    GT516
  • Isotype
    IgG2a
  • Applications
    WB ICC/IF IHC-P
  • Reactivity
    Human, Mouse, Rat
See all CXCL16 products