CXCL16 antibody

Cat. No. GTX60199
Cat. No.  GTX60199
Anti-CXCL16 antibody used in IHC (Paraffin sections) (IHC-P). GTX60199
GTX60199 IHC-P Image

IHC-P analysis of mouse skin tissue using GTX60199 CXCL16 antibody.
Green:GTX60199 Dilution : 1:50

1 / 3
Anti-CXCL16 antibody used in Western Blot (WB). GTX60199
GTX60199 WB Image

WB analysis of BV2 cell lysates using GTX60199 CXCL16 antibody.
Dilution : 1:300

2 / 3
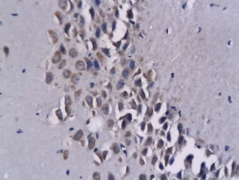
Anti-CXCL16 antibody used in IHC (Paraffin sections) (IHC-P). GTX60199
GTX60199 IHC-P Image

IHC-P analysis of mouse brain tissue using GTX60199 CXCL16 antibody.

3 / 3
Anti-CXCL16 antibody used in IHC (Paraffin sections) (IHC-P). GTX60199
Anti-CXCL16 antibody used in Western Blot (WB). GTX60199
Anti-CXCL16 antibody used in IHC (Paraffin sections) (IHC-P). GTX60199
  • Host
    Rabbit
  • Clonality
    Polyclonal
  • Isotype
    IgG
  • Applications
    WB IHC-P
  • Reactivity
    Mouse, Rat
See all CXCL16 products