CXCL5 antibody [10L19]

Cat. No. GTX52669
Cat. No.  GTX52669
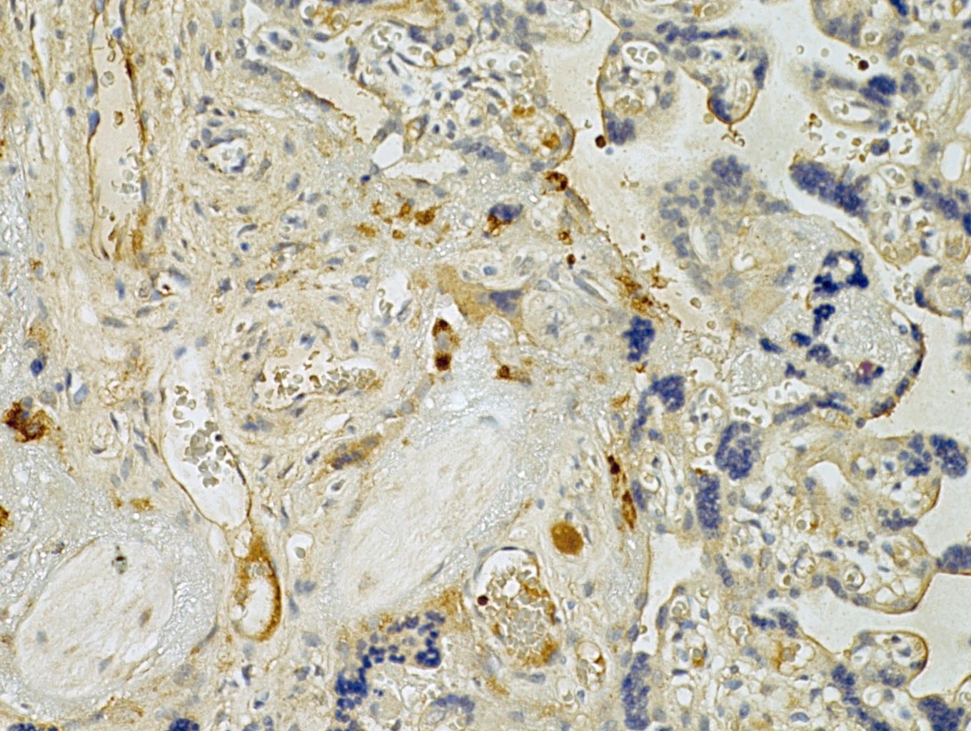
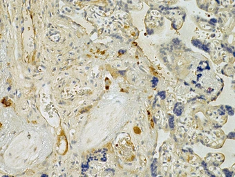
Anti-CXCL5 antibody [10L19] used in IHC (Paraffin sections) (IHC-P). GTX52669
GTX52669 IHC-P Image

IHC-P analysis of human placenta tissue using GTX52669 CXCL5 antibody [10L19].
Antigen retrieval : 20 μg/mL Proteinase K in PBS for 10-15 minutes

1 / 1
Anti-CXCL5 antibody [10L19] used in IHC (Paraffin sections) (IHC-P). GTX52669
  • Host
    Mouse
  • Clonality
    Monoclonal
  • Clone Name
    10L19
  • Isotype
    IgG1
  • Applications
    WB IHC-P Neutralizing /Inhibition
  • Reactivity
    Human
See all CXCL5 products