CXCR1 antibody [HL2674]

Cat. No. GTX639338
Cat. No.  GTX639338
Anti-CXCR1 antibody [HL2674] used in  (). GTX639338
GTX639338 Image

Unboiled non-transfected (–) and transfected (+) 293T whole cell extracts (30 μg) were separated by 10% SDS-PAGE, and the membrane was blotted with CXCR1 antibody [HL2674] (GTX639338) diluted at 1:5000. The HRP-conjugated anti-rabbit IgG antibody (GTX213110-01) was used to detect the primary antibody.

1 / 3
Anti-CXCR1 antibody [HL2674] used in IHC (Paraffin sections) (IHC-P). GTX639338
GTX639338 IHC-P Image

CXCR1 antibody [HL2674] detects CXCR1 protein at cell membrane by immunohistochemical analysis.
Sample: Paraffin-embedded rat liver.
CXCR1 stained by CXCR1 antibody [HL2674] (GTX639338) diluted at 1:100.
Antigen Retrieval: Citrate buffer, pH 6.0, 15 min

2 / 3
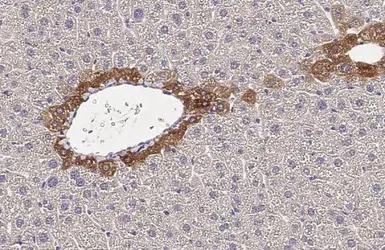
Anti-CXCR1 antibody [HL2674] used in IHC (Paraffin sections) (IHC-P). GTX639338
GTX639338 IHC-P Image

CXCR1 antibody [HL2674] detects CXCR1 protein at cell membrane by immunohistochemical analysis.
Sample: Paraffin-embedded mouse liver.
CXCR1 stained by CXCR1 antibody [HL2674] (GTX639338) diluted at 1:100.
Antigen Retrieval: Citrate buffer, pH 6.0, 15 min

3 / 3
Anti-CXCR1 antibody [HL2674] used in  (). GTX639338
Anti-CXCR1 antibody [HL2674] used in IHC (Paraffin sections) (IHC-P). GTX639338
Anti-CXCR1 antibody [HL2674] used in IHC (Paraffin sections) (IHC-P). GTX639338
  • Host
    Rabbit
  • Clonality
    Monoclonal
  • Clone Name
    HL2674
  • Isotype
    IgG
  • Applications
    IHC-P
  • Reactivity
    Human, Mouse, Rat
See all CXCR1 products