CYP2J2 antibody [N3C3]

Cat. No. GTX114064
Cat. No.  GTX114064
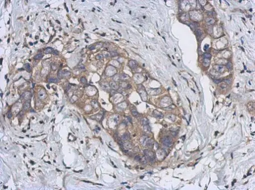
Anti-CYP2J2 antibody [N3C3] used in IHC (Paraffin sections) (IHC-P). GTX114064
GTX114064 IHC-P Image

Immunohistochemical analysis of paraffin-embedded human breast cancer, using CYP2J2(GTX114064) antibody at 1:500 dilution.
Antigen Retrieval: Trilogy™ (EDTA based, pH 8.0) buffer, 15min

1 / 2
Anti-CYP2J2 antibody [N3C3] used in Western Blot (WB). GTX114064
GTX114064 WB Image

Various whole cell extracts (30 μg) were separated by 10% SDS-PAGE, and the membrane was blotted with CYP2J2 antibody [N3C3] (GTX114064) diluted at 1:500. The HRP-conjugated anti-rabbit IgG antibody (GTX213110-01) was used to detect the primary antibody.

2 / 2
Anti-CYP2J2 antibody [N3C3] used in IHC (Paraffin sections) (IHC-P). GTX114064
Anti-CYP2J2 antibody [N3C3] used in Western Blot (WB). GTX114064
  • Host
    Rabbit
  • Clonality
    Polyclonal
  • Isotype
    IgG
  • Applications
    WB IHC-P
  • Reactivity
    Human
See all CYP2J2 products