CYP39A1 antibody

Cat. No. GTX55952
Cat. No.  GTX55952
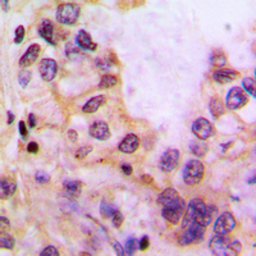
Anti-CYP39A1 antibody used in IHC (Paraffin sections) (IHC-P). GTX55952
GTX55952 IHC-P Image

IHC-P analysis of formalin fixed human liver cancer tissue section using GTX55952 CYP39A1 antibody.
Antigen retrieval : Heat mediated antigen retrieval with sodium citrate buffer (pH 6.0)

1 / 2
Anti-CYP39A1 antibody used in Western Blot (WB). GTX55952
GTX55952 WB Image

WB analysis of HeLa (A), HUVEC (B) whole cell lysates using GTX55952 CYP39A1 antibody.

2 / 2
Anti-CYP39A1 antibody used in IHC (Paraffin sections) (IHC-P). GTX55952
Anti-CYP39A1 antibody used in Western Blot (WB). GTX55952
  • Host
    Rabbit
  • Clonality
    Polyclonal
  • Isotype
    IgG
  • Applications
    WB IHC-P
  • Reactivity
    Human
See all CYP39A1 products