CYP4F3 antibody, N-term

Cat. No. GTX47110
Cat. No.  GTX47110
Anti-CYP4F3 antibody, N-term used in Western Blot (WB). GTX47110
GTX47110 WB Image

WB analysis of OVCAR-3 cells using GTX47110 CYP4F3 antibody at 0.2-1μg/ml.

1 / 2
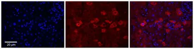
Anti-CYP4F3 antibody, N-term used in IHC (Paraffin sections) (IHC-P). GTX47110
GTX47110 IHC-P Image

IHC-P analysis of human liver tissue using GTX47110 CYP4F3 antibody at 1:100. Left to right:DAPI, CYP4F3, Merge. Low pH, heat-induced antigen retrieval method utilizing Sodium Citrate buffer was performed.

2 / 2
Anti-CYP4F3 antibody, N-term used in Western Blot (WB). GTX47110
Anti-CYP4F3 antibody, N-term used in IHC (Paraffin sections) (IHC-P). GTX47110
  • Host
    Rabbit
  • Clonality
    Polyclonal
  • Isotype
    IgG
  • Applications
    WB IHC-P
  • Reactivity
    Human
See all CYP4F3 products