CaMKI delta antibody [2C6]

Cat. No. GTX84738
Cat. No.  GTX84738
Anti-CaMKI delta antibody [2C6] used in IHC (Paraffin sections) (IHC-P). GTX84738
GTX84738 IHC-P Image

IHC-P analysis of thyroid tissue using GTX84738 CaMKI delta antibody [2C6].
Antigen retrieval : Heat-induced epitope retrieval by 10mM citrate buffer, pH6.0, 100ºC for 10min.
Dilution : 1:50

1 / 4
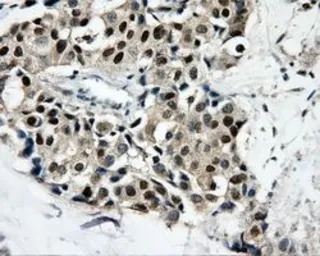
Anti-CaMKI delta antibody [2C6] used in IHC (Paraffin sections) (IHC-P). GTX84738
GTX84738 IHC-P Image

IHC-P analysis of breast adenocarcinoma tissue using GTX84738 CaMKI delta antibody [2C6].
Antigen retrieval : Heat-induced epitope retrieval by 10mM citrate buffer, pH6.0, 100ºC for 10min.
Dilution : 1:50

2 / 4
Anti-CaMKI delta antibody [2C6] used in Western Blot (WB). GTX84738
GTX84738 WB Image

WB analysis of HEK293T cells transfected with CaMKI delta plasmid (Right) or empty vector (Left) for 48 hrs using GTX84738 CaMKI delta antibody [2C6].
Loading : 5 ug per lane

3 / 4
Anti-CaMKI delta antibody [2C6] used in Immunocytochemistry/ Immunofluorescence (ICC/IF). GTX84738
GTX84738 ICC/IF Image

ICC/IF analysis of COS7 cells transiently transfected with CaMKI delta plasmid using GTX84738 CaMKI delta antibody [2C6].

4 / 4
Anti-CaMKI delta antibody [2C6] used in IHC (Paraffin sections) (IHC-P). GTX84738
Anti-CaMKI delta antibody [2C6] used in IHC (Paraffin sections) (IHC-P). GTX84738
Anti-CaMKI delta antibody [2C6] used in Western Blot (WB). GTX84738
Anti-CaMKI delta antibody [2C6] used in Immunocytochemistry/ Immunofluorescence (ICC/IF). GTX84738
  • Host
    Mouse
  • Clonality
    Monoclonal
  • Clone Name
    2C6
  • Isotype
    IgG1
  • Applications
    WB ICC/IF IHC-P
  • Reactivity
    Human
See all CaMKI delta products