CaMKIV antibody [8C5B8]

Cat. No. GTX60667
Cat. No.  GTX60667
Anti-CaMKIV antibody [8C5B8] used in Western Blot (WB). GTX60667
GTX60667 WB Image

WB analysis of HEK293 (1) and CAMK4 (AA: 35-292)-hIgGFc transfected HEK293 (2) cell lysate using GTX60667 CaMKIV antibody [8C5B8].

1 / 6
Anti-CaMKIV antibody [8C5B8] used in ELISA (ELISA). GTX60667
GTX60667 ELISA Image

ELISA analysis of antigen using GTX60667 CaMKIV antibody [8C5B8].
Black : Control antigen 100ng
Purple : Antigen 10ng
Blue : Antigen 50ng
Red : Antigen 100ng

2 / 6
Anti-CaMKIV antibody [8C5B8] used in Western Blot (WB). GTX60667
GTX60667 WB Image

WB analysis of Jurkat (1), SK-N-SH (2), Raji (3), and HeLa (4) cell lysate using GTX60667 CaMKIV antibody [8C5B8].

3 / 6
Anti-CaMKIV antibody [8C5B8] used in Immunocytochemistry/ Immunofluorescence (ICC/IF). GTX60667
GTX60667 ICC/IF Image

ICC/IF analysis of HepG2 cells using GTX60667 CaMKIV antibody [8C5B8].
Green : CaMKIV
Blue: DRAQ5 fluorescent DNA dye
Red: Actin filaments

4 / 6
Anti-CaMKIV antibody [8C5B8] used in IHC (Paraffin sections) (IHC-P). GTX60667
GTX60667 IHC-P Image

IHC-P analysis of ovarian cancer tissue using GTX60667 CaMKIV antibody [8C5B8].

5 / 6
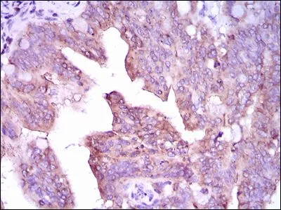
Anti-CaMKIV antibody [8C5B8] used in IHC (Paraffin sections) (IHC-P). GTX60667
GTX60667 IHC-P Image

IHC-P analysis of rectum cancer tissue using GTX60667 CaMKIV antibody [8C5B8].

6 / 6
Anti-CaMKIV antibody [8C5B8] used in Western Blot (WB). GTX60667
Anti-CaMKIV antibody [8C5B8] used in ELISA (ELISA). GTX60667
Anti-CaMKIV antibody [8C5B8] used in Western Blot (WB). GTX60667
Anti-CaMKIV antibody [8C5B8] used in Immunocytochemistry/ Immunofluorescence (ICC/IF). GTX60667
Anti-CaMKIV antibody [8C5B8] used in IHC (Paraffin sections) (IHC-P). GTX60667
Anti-CaMKIV antibody [8C5B8] used in IHC (Paraffin sections) (IHC-P). GTX60667
  • Host
    Mouse
  • Clonality
    Monoclonal
  • Clone Name
    8C5B8
  • Isotype
    IgG1
  • Applications
    WB ICC/IF IHC-P FCM ELISA
  • Reactivity
    Human
See all CaMKIV products