Calcineurin B antibody

Cat. No. GTX64517
Cat. No.  GTX64517
Anti-Calcineurin B antibody used in Immunocytochemistry/ Immunofluorescence (ICC/IF). GTX64517
GTX64517 ICC/IF Image

ICC/IF analysis of NIH/3T3 cells using GTX64517 Calcineurin B antibody.
Blue : DAPI
Dilution : 1:100

1 / 3
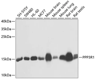
Anti-Calcineurin B antibody used in Western Blot (WB). GTX64517
GTX64517 WB Image

WB analysis of various sample lysates using GTX64517 Calcineurin B antibody.
Dilution : 1:1000
Loading : 25μg per lane

2 / 3
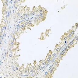
Anti-Calcineurin B antibody used in IHC (Paraffin sections) (IHC-P). GTX64517
GTX64517 IHC-P Image

IHC-P analysis of human prostate tissue using GTX64517 Calcineurin B antibody.
Dilution : 1:100

3 / 3
Anti-Calcineurin B antibody used in Immunocytochemistry/ Immunofluorescence (ICC/IF). GTX64517
Anti-Calcineurin B antibody used in Western Blot (WB). GTX64517
Anti-Calcineurin B antibody used in IHC (Paraffin sections) (IHC-P). GTX64517
  • Host
    Rabbit
  • Clonality
    Polyclonal
  • Isotype
    IgG
  • Applications
    WB ICC/IF IHC-P
  • Reactivity
    Human, Mouse, Rat
See all Calcineurin B products