Calnexin antibody

Cat. No. GTX13505
Cat. No.  GTX13505
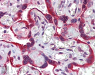
Anti-Calnexin antibody used in Immunohistochemistry (IHC). GTX13505
GTX13505 IHC Image

Immunohistochemistry analysis of human placenta tissue stained with Calnexin, pAb at 5μg/ml.

1 / 2
Anti-Calnexin antibody used in Western Blot (WB). GTX13505
GTX13505 WB Image

Western blot analysis:
Lane 1: MWM
Lane 2: Vero
Lane 3: 3T3
Lane 4: PC-12
Lane 5: HeLa.

2 / 2
Anti-Calnexin antibody used in Immunohistochemistry (IHC). GTX13505
Anti-Calnexin antibody used in Western Blot (WB). GTX13505
  • Host
    Rabbit
  • Clonality
    Polyclonal
  • Isotype
    IgG
  • Applications
    WB ICC/IF FCM IP IHC
  • Reactivity
    Human, Mouse, Rat, Rabbit, Sheep, Bovine, Hamster, Guinea pig, Pig, Monkey, Xenopus laevis, Quail
See all Calnexin products