Calpastatin antibody

Cat. No. GTX64549
Cat. No.  GTX64549
Anti-Calpastatin antibody used in Western Blot (WB). GTX64549
GTX64549 WB Image

WB analysis of normal (control) and knockout (KO) HeLa cell lysate using GTX64549 Calpastatin antibody.
Dilution : 1:1000
Loading : 25μg per lane

1 / 2
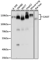
Anti-Calpastatin antibody used in Western Blot (WB). GTX64549
GTX64549 WB Image

WB analysis of various sample lysates using GTX64549 Calpastatin antibody.
Dilution : 1:1000
Loading : 25μg per lane

2 / 2
Anti-Calpastatin antibody used in Western Blot (WB). GTX64549
Anti-Calpastatin antibody used in Western Blot (WB). GTX64549
  • Host
    Rabbit
  • Clonality
    Polyclonal
  • Isotype
    IgG
  • Applications
    WB
  • Reactivity
    Human, Mouse, Rat
See all Calpastatin products