Calponin 1 antibody [MSVA-455R] HistoMAX™

Cat. No. GTX04387
Cat. No.  GTX04387
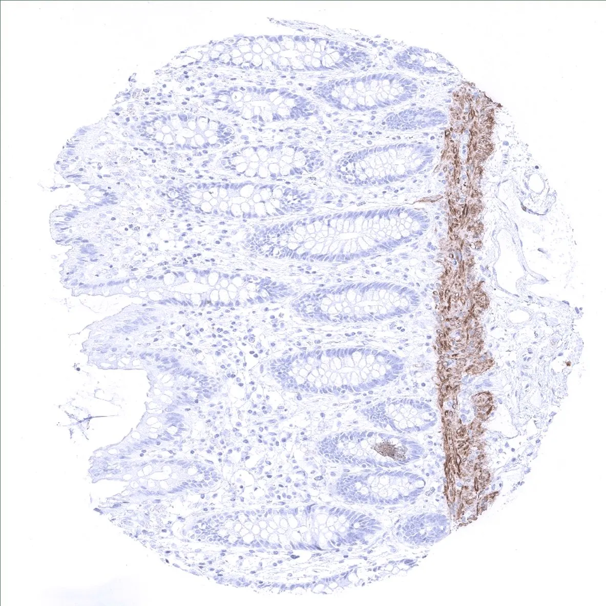
Anti-Calponin 1 antibody [MSVA-455R] HistoMAX™ used in IHC (Paraffin sections) (IHC-P). GTX04387
GTX04387 IHC-P Image

IHC-P analysis of human mucosa from descending colon tissue using GTX04387 Calponin 1 antibody [MSVA-455R] HistoMAX™.
A moderate intensity calponin 1 immunostaining is seen in the muscularis mucosae in a colon sample.

1 / 3
Anti-Calponin 1 antibody [MSVA-455R] HistoMAX™ used in IHC (Paraffin sections) (IHC-P). GTX04387
GTX04387 IHC-P Image

IHC-P analysis of human epididymis tissue using GTX04387 Calponin 1 antibody [MSVA-455R] HistoMAX™.
A strong calponin 1 immunostaining ocurrs in the periductal smooth muscle layer in the epididymis.

2 / 3
Anti-Calponin 1 antibody [MSVA-455R] HistoMAX™ used in IHC (Paraffin sections) (IHC-P). GTX04387
GTX04387 IHC-P Image

IHC-P analysis of human breast tissue using GTX04387 Calponin 1 antibody [MSVA-455R] HistoMAX™.
Calponin 1 immunostaining is regularly seen in myoepithelial cells of the breast.

3 / 3
Anti-Calponin 1 antibody [MSVA-455R] HistoMAX™ used in IHC (Paraffin sections) (IHC-P). GTX04387
Anti-Calponin 1 antibody [MSVA-455R] HistoMAX™ used in IHC (Paraffin sections) (IHC-P). GTX04387
Anti-Calponin 1 antibody [MSVA-455R] HistoMAX™ used in IHC (Paraffin sections) (IHC-P). GTX04387
  • Host
    Rabbit
  • Clonality
    Monoclonal
  • Clone Name
    MSVA-455R
  • Isotype
    IgG
  • Applications
    IHC-P
  • Reactivity
    Human
Summary
This antibody was validated on 76 different Normal Tissues by IHC-P.

Go to Normal Tissue GalleryGo to Cancer Tissue Gallery

See all Calponin 1 products