Carbonic Anhydrase II antibody

Cat. No. GTX26621
Cat. No.  GTX26621
Anti-Carbonic Anhydrase II antibody used in Western Blot (WB). GTX26621
GTX26621 WB Image

WB analysis of human Carbonic Anhydrase II protein using GTX26621 Carbonic Anhydrase II antibody.
Loading : 50 ng
Dilution : 1:1000

1 / 2
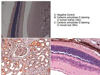
Anti-Carbonic Anhydrase II antibody used in IHC (Paraffin sections) (IHC-P). GTX26621
GTX26621 IHC-P Image

IHC-P analysis of various tissues using GTX26621 Carbonic Anhydrase II antibody.
Panel A : Negative control
Panel B : Human kidney tissue section
Panel C : Mouse eye tissue section
Antigen retrieval : Heat-mediated buffer (pH 6.2)
Dilution : 4 μg/mL

2 / 2
Anti-Carbonic Anhydrase II antibody used in Western Blot (WB). GTX26621
Anti-Carbonic Anhydrase II antibody used in IHC (Paraffin sections) (IHC-P). GTX26621
  • Host
    Rabbit
  • Clonality
    Polyclonal
  • Isotype
    IgG
  • Applications
    WB IHC-P ELISA
  • Reactivity
    Human, Mouse
See all Carbonic Anhydrase II products