Cardiac Troponin I antibody [3G2]

Cat. No. GTX83502
Cat. No.  GTX83502
Anti-Cardiac Troponin I antibody [3G2] used in Western Blot (WB). GTX83502
GTX83502 WB Image

WB analysis of HEK293T cells transfected with Cardiac Troponin I plasmid (Right) or empty vector (Left) for 48 hrs using GTX83502 Cardiac Troponin I antibody [3G2].
Loading : 5 ug per lane

1 / 2
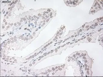
Anti-Cardiac Troponin I antibody [3G2] used in IHC (Paraffin sections) (IHC-P). GTX83502
GTX83502 IHC-P Image

IHC-P analysis of prostate tissue using GTX83502 Cardiac Troponin I antibody [3G2].
Antigen retrieval : Heat-induced epitope retrieval by 10mM citrate buffer, pH6.0, 100ºC for 10min.
Dilution : 1:50

2 / 2
Anti-Cardiac Troponin I antibody [3G2] used in Western Blot (WB). GTX83502
Anti-Cardiac Troponin I antibody [3G2] used in IHC (Paraffin sections) (IHC-P). GTX83502
  • Host
    Mouse
  • Clonality
    Monoclonal
  • Clone Name
    3G2
  • Isotype
    IgG2a
  • Applications
    WB IHC-P
  • Reactivity
    Human
See all Cardiac Troponin I products