Cardiac Troponin I antibody [4A3]

Cat. No. GTX83501
Cat. No.  GTX83501
Anti-Cardiac Troponin I antibody [4A3] used in IHC (Paraffin sections) (IHC-P). GTX83501
GTX83501 IHC-P Image

IHC-P analysis of ovary tissue using GTX83501 Cardiac Troponin I antibody [4A3].
Antigen retrieval : Heat-induced epitope retrieval by 10mM citrate buffer, pH6.0, 100ºC for 10min.
Dilution : 1:50

1 / 3
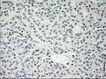
Anti-Cardiac Troponin I antibody [4A3] used in IHC (Paraffin sections) (IHC-P). GTX83501
GTX83501 IHC-P Image

IHC-P analysis of pancreas tissue using GTX83501 Cardiac Troponin I antibody [4A3].
Antigen retrieval : Heat-induced epitope retrieval by 10mM citrate buffer, pH6.0, 100ºC for 10min.
Dilution : 1:50

2 / 3
Anti-Cardiac Troponin I antibody [4A3] used in Western Blot (WB). GTX83501
GTX83501 WB Image

WB analysis of HEK293T cells transfected with Cardiac Troponin I plasmid (Right) or empty vector (Left) for 48 hrs using GTX83501 Cardiac Troponin I antibody [4A3].
Loading : 5 ug per lane

3 / 3
Anti-Cardiac Troponin I antibody [4A3] used in IHC (Paraffin sections) (IHC-P). GTX83501
Anti-Cardiac Troponin I antibody [4A3] used in IHC (Paraffin sections) (IHC-P). GTX83501
Anti-Cardiac Troponin I antibody [4A3] used in Western Blot (WB). GTX83501
  • Host
    Mouse
  • Clonality
    Monoclonal
  • Clone Name
    4A3
  • Isotype
    IgG1
  • Applications
    WB IHC-P
  • Reactivity
    Human
See all Cardiac Troponin I products