Caspase 8 (phospho Ser347) antibody

Cat. No. GTX55080
Cat. No.  GTX55080
Anti-Caspase 8 (phospho Ser347) antibody used in Western Blot (WB). GTX55080
GTX55080 WB Image

WB analysis of PMA-treated Jurkat (A) whole cell lysates using GTX55080 Caspase 8 (phospho Ser347) antibody.

1 / 2
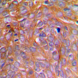
Anti-Caspase 8 (phospho Ser347) antibody used in IHC (Paraffin sections) (IHC-P). GTX55080
GTX55080 IHC-P Image

IHC-P analysis of formalin fixed human breast cancer tissue section using GTX55080 Caspase 8 (phospho Ser347) antibody.
Antigen retrieval : Heat mediated antigen retrieval with sodium citrate buffer (pH 6.0)

2 / 2
Anti-Caspase 8 (phospho Ser347) antibody used in Western Blot (WB). GTX55080
Anti-Caspase 8 (phospho Ser347) antibody used in IHC (Paraffin sections) (IHC-P). GTX55080
  • Host
    Rabbit
  • Clonality
    Polyclonal
  • Isotype
    IgG
  • Applications
    WB IHC-P
  • Reactivity
    Human
See all Caspase 8 products