Cav alpha 2/delta 3 antibody

Cat. No. GTX16618
Cat. No.  GTX16618
Anti-Cav alpha 2/delta 3 antibody used in Live cell imaging (LCI). GTX16618
GTX16618 LCI Image

Live cell imaging analysis of intact living PC12 cells using GTX16618 Cav alpha 2/delta 3 antibody.
Dilution : 1:25

1 / 3
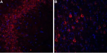
Anti-Cav alpha 2/delta 3 antibody used in IHC (Frozen sections) (IHC-Fr). GTX16618
GTX16618 IHC-Fr Image

IHC-Fr analysis of rat hippocampus and cortex tissue using GTX16618 Cav alpha 2/delta 3 antibody. In both areas CaVα2δ3 staining (red) appears in pyramidal neurons (arrow). DAPI is used as the counterstain (blue).

2 / 3
Anti-Cav alpha 2/delta 3 antibody used in Western Blot (WB). GTX16618
GTX16618 WB Image

WB analysis of rat brain (lanes 1 and 3) and K562 (lanes 2 and 4) lysates using GTX16618 Cav alpha 2/delta 3 antibody preincubated with or without immunogen peptide.
Dilution : 1:200

3 / 3
Anti-Cav alpha 2/delta 3 antibody used in Live cell imaging (LCI). GTX16618
Anti-Cav alpha 2/delta 3 antibody used in IHC (Frozen sections) (IHC-Fr). GTX16618
Anti-Cav alpha 2/delta 3 antibody used in Western Blot (WB). GTX16618
  • Host
    Rabbit
  • Clonality
    Polyclonal
  • Isotype
    IgG
  • Applications
    WB ICC/IF IHC-Fr LCI
  • Reactivity
    Human, Mouse, Rat
See all Cav alpha 2/delta 3 products