Choline Acetyltransferase antibody [HL2014]

Cat. No. GTX637915
Cat. No.  GTX637915
Anti-Choline Acetyltransferase antibody [HL2014] used in IHC (Paraffin sections) (IHC-P). GTX637915
GTX637915 IHC-P Image

Choline Acetyltransferase antibody [HL2014] detects Choline Acetyltransferase protein by immunohistochemical analysis.
Sample: Paraffin-embedded rat eye.
Green: Choline Acetyltransferase stained by Choline Acetyltransferase antibody [HL2014] (GTX637915) diluted at 1:1250.
Red: beta Tubulin 3/ Tuj1 antibody [GT11710] (GTX631836) diluted at 1:500.
Blue: Hoechst 33342 staining.
Antigen Retrieval: Citrate buffer, pH 6.0, 15 min

1 / 6
Anti-Choline Acetyltransferase antibody [HL2014] used in IHC (Paraffin sections) (IHC-P). GTX637915
GTX637915 IHC-P Image

Choline Acetyltransferase antibody [HL2014] detects Choline Acetyltransferase protein by immunohistochemical analysis.
Sample: Paraffin-embedded mouse eye.
Green: Choline Acetyltransferase stained by Choline Acetyltransferase antibody [HL2014] (GTX637915) diluted at 1:1250.
Red: beta Tubulin 3/ Tuj1 antibody [GT11710] (GTX631836) diluted at 1:500.
Blue: Hoechst 33342 staining.
Antigen Retrieval: Citrate buffer, pH 6.0, 15 min

2 / 6
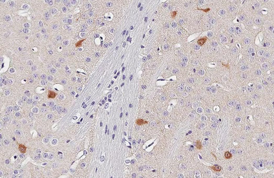
Anti-Choline Acetyltransferase antibody [HL2014] used in IHC (Paraffin sections) (IHC-P). GTX637915
GTX637915 IHC-P Image

Choline Acetyltransferase antibody [HL2014] detects Choline Acetyltransferase protein by immunohistochemical analysis.
Sample: Paraffin-embedded mouse striatum.
Choline Acetyltransferase stained by Choline Acetyltransferase antibody [HL2014] (GTX637915) diluted at 1:1500.
Antigen Retrieval: Citrate buffer, pH 6.0, 15 min

3 / 6
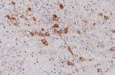
Anti-Choline Acetyltransferase antibody [HL2014] used in IHC (Paraffin sections) (IHC-P). GTX637915
GTX637915 IHC-P Image

Choline Acetyltransferase antibody [HL2014] detects Choline Acetyltransferase protein by immunohistochemical analysis.
Sample: Paraffin-embedded mouse laterodorsal tegmental nucleus.
Choline Acetyltransferase stained by Choline Acetyltransferase antibody [HL2014] (GTX637915) diluted at 1:1500.
Antigen Retrieval: Citrate buffer, pH 6.0, 15 min

4 / 6
Anti-Choline Acetyltransferase antibody [HL2014] used in IHC (Paraffin sections) (IHC-P). GTX637915
GTX637915 IHC-P Image

Choline Acetyltransferase antibody [HL2014] detects Choline Acetyltransferase protein by immunohistochemical analysis.
Sample: Paraffin-embedded mouse brain.
Choline Acetyltransferase stained by Choline Acetyltransferase antibody [HL2014] (GTX637915) diluted at 1:1500.
Antigen Retrieval: Citrate buffer, pH 6.0, 15 min

5 / 6
Anti-Choline Acetyltransferase antibody [HL2014] used in Immunocytochemistry/ Immunofluorescence (ICC/IF). GTX637915
GTX637915 ICC/IF Image

Choline Acetyltransferase antibody [HL2014] detects Choline Acetyltransferase protein at cytoplasm by immunofluorescent analysis.
Sample: DIV9 rat E18 primary cortical neuron and glia cells were fixed in 4% paraformaldehyde at RT for 15 min.
Green: Choline Acetyltransferase stained by Choline Acetyltransferase antibody [HL2014] (GTX637915) diluted at 1:250.
Red: Tau, an Axon marker, stained by Tau antibody [GT287] (GTX634809) diluted at 1:500.
Blue: Fluoroshield with DAPI (GTX30920).

6 / 6
Anti-Choline Acetyltransferase antibody [HL2014] used in IHC (Paraffin sections) (IHC-P). GTX637915
Anti-Choline Acetyltransferase antibody [HL2014] used in IHC (Paraffin sections) (IHC-P). GTX637915
Anti-Choline Acetyltransferase antibody [HL2014] used in IHC (Paraffin sections) (IHC-P). GTX637915
Anti-Choline Acetyltransferase antibody [HL2014] used in IHC (Paraffin sections) (IHC-P). GTX637915
Anti-Choline Acetyltransferase antibody [HL2014] used in IHC (Paraffin sections) (IHC-P). GTX637915
Anti-Choline Acetyltransferase antibody [HL2014] used in Immunocytochemistry/ Immunofluorescence (ICC/IF). GTX637915
  • Host
    Rabbit
  • Clonality
    Monoclonal
  • Clone Name
    HL2014
  • Isotype
    IgG
  • Applications
    ICC/IF IHC-P
  • Reactivity
    Mouse, Rat
See all Choline Acetyltransferase products