Choline Acetyltransferase antibody [HL3466]

Cat. No. GTX641351
Cat. No.  GTX641351
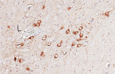
Anti-Choline Acetyltransferase antibody [HL3466] used in IHC (Paraffin sections) (IHC-P). GTX641351
GTX641351 IHC-P Image

Choline Acetyltransferase antibody [HL3466] detects Choline Acetyltransferase protein by immunohistochemical analysis.
Sample: Paraffin-embedded rat laterodorsal tegmental nucleus.
Choline Acetyltransferase stained by Choline Acetyltransferase antibody [HL3466] (GTX641351) diluted at 1:1250.
Antigen Retrieval: Citrate buffer, pH 6.0, 15 min

1 / 7
Anti-Choline Acetyltransferase antibody [HL3466] used in Western Blot (WB). GTX641351
GTX641351 WB Image

Various tissue extracts (50 μg) were separated by 7.5% SDS-PAGE, and the membrane was blotted with Choline Acetyltransferase antibody [HL3466] (GTX641351) diluted at 1:1000. The HRP-conjugated anti-rabbit IgG antibody (GTX213110-01) was used to detect the primary antibody.

2 / 7
Anti-Choline Acetyltransferase antibody [HL3466] used in IHC (Frozen sections) (IHC-Fr). GTX641351
GTX641351 IHC-Fr Image

Choline Acetyltransferase antibody [HL3466] detects Choline Acetyltransferase protein by immunohistochemical analysis.
Sample: Frozen-sectioned mouse eye.
Green: Choline Acetyltransferase stained by Choline Acetyltransferase antibody [HL3466] (GTX641351) diluted at 1:250.
Red: beta Tubulin 3/ Tuj1 antibody [GT11710] (GTX631836) diluted at 1:500.
Blue: Hoechst 33342 staining.

3 / 7
Anti-Choline Acetyltransferase antibody [HL3466] used in IHC (Paraffin sections) (IHC-P). GTX641351
GTX641351 IHC-P Image

Choline Acetyltransferase antibody [HL3466] detects Choline Acetyltransferase protein by immunohistochemical analysis.
Sample: Paraffin-embedded rat eye.
Green: Choline Acetyltransferase stained by Choline Acetyltransferase antibody [HL3466] (GTX641351) diluted at 1:250.
Red: beta Tubulin 3/ Tuj1 stained by beta Tubulin 3/ Tuj1 antibody [GT11710] (GTX631836) diluted at 1:500.
Blue: Fluoroshield with DAPI (GTX30920).
Antigen Retrieval: Citrate buffer, pH 6.0, 15 min

4 / 7
Anti-Choline Acetyltransferase antibody [HL3466] used in IHC (Paraffin sections) (IHC-P). GTX641351
GTX641351 IHC-P Image

Choline Acetyltransferase antibody [HL3466] detects Choline Acetyltransferase protein by immunohistochemical analysis.
Sample: Paraffin-embedded human placenta.
Choline Acetyltransferase stained by Choline Acetyltransferase antibody [HL3466] (GTX641351) diluted at 1:100.
Antigen Retrieval: Citrate buffer, pH 6.0, 15 min

5 / 7
Anti-Choline Acetyltransferase antibody [HL3466] used in Western Blot (WB). GTX641351
GTX641351 WB Image

Various whole cell extracts (30 μg) were separated by 7.5% SDS-PAGE, and the membranes were blotted with Choline Acetyltransferase antibody [HL3466] (GTX641351) diluted at 1:1000. The HRP-conjugated anti-rabbit IgG antibody (GTX213110-01) was used to detect the primary antibody

6 / 7
Anti-Choline Acetyltransferase antibody [HL3466] used in Western Blot (WB). GTX641351
GTX641351 WB Image

Various tissue extracts (50 μg) were separated by 7.5% SDS-PAGE, and the membranes were blotted with Choline Acetyltransferase antibody [HL3466] (GTX641351) diluted at 1:1000. The HRP-conjugated anti-rabbit IgG antibody (GTX213110-01) was used to detect the primary antibody

7 / 7
Anti-Choline Acetyltransferase antibody [HL3466] used in IHC (Paraffin sections) (IHC-P). GTX641351
Anti-Choline Acetyltransferase antibody [HL3466] used in Western Blot (WB). GTX641351
Anti-Choline Acetyltransferase antibody [HL3466] used in IHC (Frozen sections) (IHC-Fr). GTX641351
Anti-Choline Acetyltransferase antibody [HL3466] used in IHC (Paraffin sections) (IHC-P). GTX641351
Anti-Choline Acetyltransferase antibody [HL3466] used in IHC (Paraffin sections) (IHC-P). GTX641351
Anti-Choline Acetyltransferase antibody [HL3466] used in Western Blot (WB). GTX641351
Anti-Choline Acetyltransferase antibody [HL3466] used in Western Blot (WB). GTX641351
  • Host
    Rabbit
  • Clonality
    Monoclonal
  • Clone Name
    HL3466
  • Isotype
    IgG
  • Applications
    WB IHC-P IHC-Fr
  • Reactivity
    Human, Mouse, Rat
See all Choline Acetyltransferase products