Chromogranin A antibody [SP12] (ready-to-use)

Cat. No. GTX79432
Cat. No.  GTX79432
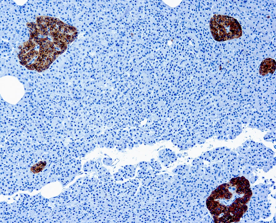
Anti-Chromogranin A antibody [SP12] (ready-to-use) used in IHC (Paraffin sections) (IHC-P). GTX79432
GTX79432 IHC-P Image

IHC-P analysis of human pancreas tissue using GTX79432 Chromogranin A antibody [SP12] (ready-to-use).

1 / 1
Anti-Chromogranin A antibody [SP12] (ready-to-use) used in IHC (Paraffin sections) (IHC-P). GTX79432
  • Host
    Rabbit
  • Clonality
    Monoclonal
  • Clone Name
    SP12
  • Isotype
    IgG
  • Applications
    IHC-P
  • Reactivity
    Human
See all Chromogranin A products