Chromogranin C antibody

Cat. No. GTX116446
Cat. No.  GTX116446
Anti-Chromogranin C antibody used in Western Blot (WB). GTX116446
GTX116446 WB Image

Various whole cell extracts (30 μg) were separated by 7.5% SDS-PAGE, and the membrane was blotted with Chromogranin C antibody (GTX116446) diluted at 1:1000. The HRP-conjugated anti-rabbit IgG antibody (GTX213110-01) was used to detect the primary antibody. Corresponding RNA expression data for the same cell lines are based on Human Protein Atlas program.

1 / 6
Anti-Chromogranin C antibody used in IHC (Paraffin sections) (IHC-P). GTX116446
GTX116446 IHC-P Image

Chromogranin C antibody detects SCG2 protein at cytosol on RT2 xenograft by immunohistochemical analysis.
Sample: Paraffin-embedded RT2 xenograft.
Chromogranin C antibody (GTX116446) dilution: 1:500.

Antigen Retrieval: Trilogy™ (EDTA based, pH 8.0) buffer, 15min

2 / 6
Anti-Chromogranin C antibody used in IHC (Paraffin sections) (IHC-P). GTX116446
GTX116446 IHC-P Image

Chromogranin C antibody detects Chromogranin C protein at membrane on mouse fore brain by immunohistochemical analysis.
Sample: Paraffin-embedded mouse fore brain.
Chromogranin C antibody (GTX116446) dilution: 1:500.

Antigen Retrieval: Trilogy™ (EDTA based, pH 8.0) buffer, 15min

3 / 6
Anti-Chromogranin C antibody used in IHC (Paraffin sections) (IHC-P). GTX116446
GTX116446 IHC-P Image

Chromogranin C antibody detects SCG2 protein at cytosol on U87 xenograft by immunohistochemical analysis.
Sample: Paraffin-embedded U87 xenograft.
Chromogranin C antibody (GTX116446) dilution: 1:500.

Antigen Retrieval: Trilogy™ (EDTA based, pH 8.0) buffer, 15min

4 / 6
Anti-Chromogranin C antibody used in Immunocytochemistry/ Immunofluorescence (ICC/IF). GTX116446
GTX116446 ICC/IF Image

The data was published in the journal PLoS One in 2014. PMID: 24558503

5 / 6
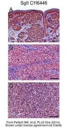
Anti-Chromogranin C antibody used in IHC (Paraffin sections) (IHC-P). GTX116446
GTX116446 IHC-P Image

The data was published in the journal PLoS One in 2014. PMID: 24558503

6 / 6
Anti-Chromogranin C antibody used in Western Blot (WB). GTX116446
Anti-Chromogranin C antibody used in IHC (Paraffin sections) (IHC-P). GTX116446
Anti-Chromogranin C antibody used in IHC (Paraffin sections) (IHC-P). GTX116446
Anti-Chromogranin C antibody used in IHC (Paraffin sections) (IHC-P). GTX116446
Anti-Chromogranin C antibody used in Immunocytochemistry/ Immunofluorescence (ICC/IF). GTX116446
Anti-Chromogranin C antibody used in IHC (Paraffin sections) (IHC-P). GTX116446
  • Host
    Rabbit
  • Clonality
    Polyclonal
  • Isotype
    IgG
  • Applications
    WB ICC/IF IHC-P
  • Reactivity
    Human, Mouse
See all Chromogranin C products