Cip4 antibody

Cat. No. GTX32523
Cat. No.  GTX32523
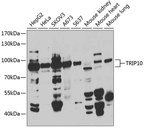
Anti-Cip4 antibody used in Western Blot (WB). GTX32523
GTX32523 WB Image

WB analysis of various sample lysates using GTX32523 Cip4 antibody.
Dilution : 1:500
Loading : 25μg per lane

1 / 2
Anti-Cip4 antibody used in Immunocytochemistry/ Immunofluorescence (ICC/IF). GTX32523
GTX32523 ICC/IF Image

ICC/IF analysis of U2OS cells using GTX32523 Cip4 antibody.
Blue : DAPI

2 / 2
Anti-Cip4 antibody used in Western Blot (WB). GTX32523
Anti-Cip4 antibody used in Immunocytochemistry/ Immunofluorescence (ICC/IF). GTX32523
  • Host
    Rabbit
  • Clonality
    Polyclonal
  • Isotype
    IgG
  • Applications
    WB ICC/IF
  • Reactivity
    Human, Mouse
See all Cip4 products