Clathrin Heavy chain antibody [X22]

Cat. No. GTX22731
Cat. No.  GTX22731
Anti-Clathrin Heavy chain antibody [X22] used in Immunocytochemistry/ Immunofluorescence (ICC/IF). GTX22731
GTX22731 ICC/IF Image

ICC/IF analysis of NCI-H460 Cells using GTX22731 Clathrin heavy chain antibody [X22]. Cells were probed without (right) or with(left) an antibody.
Green : Primary antibody
Blue : Nuclei
Red : Actin
Fixation : formaldehyde
Dilution : 1:200 overnight at 4ºC

1 / 7
Anti-Clathrin Heavy chain antibody [X22] used in Immunocytochemistry/ Immunofluorescence (ICC/IF). GTX22731
GTX22731 ICC/IF Image

ICC/IF analysis of U251 cells using GTX22731 Clathrin heavy chain antibody [X22]. Cells were probed without (right) or with(left) an antibody.
Green : Primary antibody
Blue : Nuclei
Red : Actin
Fixation : formaldehyde
Dilution : 1:200 overnight at 4ºC

2 / 7
Anti-Clathrin Heavy chain antibody [X22] used in Western Blot (WB). GTX22731
GTX22731 WB Image

WB analysis of 25 ug of human brain lysates using GTX22731 Clathrin heavy chain antibody [X22].
Dilution : 1:300

3 / 7
Anti-Clathrin Heavy chain antibody [X22] used in Immunocytochemistry/ Immunofluorescence (ICC/IF). GTX22731
GTX22731 ICC/IF Image

ICC/IF analysis of HeLa cells using GTX22731 Clathrin heavy chain antibody [X22]. Cells were probed without (right) or with(left) an antibody.
Green : Primary antibody
Blue : Nuclei
Red : Actin
Fixation : formaldehyde
Dilution : 1:200 overnight at 4ºC

4 / 7
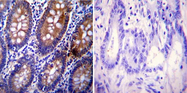
Anti-Clathrin Heavy chain antibody [X22] used in IHC (Paraffin sections) (IHC-P). GTX22731
GTX22731 IHC-P Image

IHC-P analysis of human colon tissue using GTX22731 Clathrin heavy chain antibody [X22].
Left : Primary antibody
Right : Negative control without primary antibody
Antigen retrieval : heat induced antigen retrieval was performed using 10mM sodium citrate (pH6.0) buffer, microwaved for 8-15 minutes
Dilution : 1:100

5 / 7
Anti-Clathrin Heavy chain antibody [X22] used in IHC (Paraffin sections) (IHC-P). GTX22731
GTX22731 IHC-P Image

IHC-P analysis of human breast carcinoma tissue using GTX22731 Clathrin heavy chain antibody [X22].
Left : Primary antibody
Right : Negative control without primary antibody
Antigen retrieval : heat induced antigen retrieval was performed using 10mM sodium citrate (pH6.0) buffer, microwaved for 8-15 minutes
Dilution : 1:100

6 / 7
Anti-Clathrin Heavy chain antibody [X22] used in Western Blot (WB). GTX22731
GTX22731 WB Image

The data was published in the journal Sci Rep in 2019.PMID: 30787373

7 / 7
Anti-Clathrin Heavy chain antibody [X22] used in Immunocytochemistry/ Immunofluorescence (ICC/IF). GTX22731
Anti-Clathrin Heavy chain antibody [X22] used in Immunocytochemistry/ Immunofluorescence (ICC/IF). GTX22731
Anti-Clathrin Heavy chain antibody [X22] used in Western Blot (WB). GTX22731
Anti-Clathrin Heavy chain antibody [X22] used in Immunocytochemistry/ Immunofluorescence (ICC/IF). GTX22731
Anti-Clathrin Heavy chain antibody [X22] used in IHC (Paraffin sections) (IHC-P). GTX22731
Anti-Clathrin Heavy chain antibody [X22] used in IHC (Paraffin sections) (IHC-P). GTX22731
Anti-Clathrin Heavy chain antibody [X22] used in Western Blot (WB). GTX22731
  • Host
    Mouse
  • Clonality
    Monoclonal
  • Clone Name
    X22
  • Isotype
    IgG1
  • Applications
    WB ICC/IF IHC-P IHC-Fr FCM IP IHC IM Neutralizing /Inhibition
  • Reactivity
    Human, Mouse, Rat, Bovine, Dog, Hamster, Primate
See all Clathrin Heavy chain products