Claudin 18.2 antibody [HL5024]

Cat. No. GTX645117
Cat. No.  GTX645117
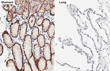
Anti-Claudin 18.2 antibody [HL5024] used in IHC (Paraffin sections) (IHC-P). GTX645117
GTX645117 IHC-P Image

Claudin 18.2 antibody [HL5024] detects Claudin 18.2 protein by immunohistochemical analysis.
Sample: Paraffin-embedded human tissues.
Claudin 18 stained by Claudin 18.2 antibody [HL5024] (GTX645117) diluted at 1:1000.
Antigen Retrieval: Tris-EDTA buffer, pH 9.0, 15 min

1 / 3
Anti-Claudin 18.2 antibody [HL5024] used in IHC-P (cell pellet) (IHC-P (cell pellet)). GTX645117
GTX645117 IHC-P (cell pellet) Image

Claudin 18.2 antibody [HL5024] detects Claudin 18.2 protein by immunohistochemical analysis.
Sample: Paraffin-embedded transfected 293T cell FFPE Cell Pellet Blocks.
Green: Claudin 18.2 stained by Claudin 18.2 antibody [HL5024] (GTX645117) diluted at 1:1000.
Red: DDDDK tag antibody [GT1216] (GTX636630) diluted at 1:1000.
Blue: Fluoroshield with DAPI (GTX30920).
Antigen Retrieval: Citrate buffer, pH 6.0, 15 min

2 / 3
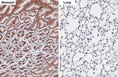
Anti-Claudin 18.2 antibody [HL5024] used in IHC (Paraffin sections) (IHC-P). GTX645117
GTX645117 IHC-P Image

Claudin 18.2 antibody [HL5024] detects Claudin 18.2 protein by immunohistochemical analysis.
Sample: Paraffin-embedded mouse tissues.
Claudin 18.2 stained by Claudin 18.2 antibody [HL5024] (GTX645117) diluted at 1:1000.
Antigen Retrieval: Tris-EDTA buffer, pH 9.0, 15 min

3 / 3
Anti-Claudin 18.2 antibody [HL5024] used in IHC (Paraffin sections) (IHC-P). GTX645117
Anti-Claudin 18.2 antibody [HL5024] used in IHC-P (cell pellet) (IHC-P (cell pellet)). GTX645117
Anti-Claudin 18.2 antibody [HL5024] used in IHC (Paraffin sections) (IHC-P). GTX645117
  • Host
    Rabbit
  • Clonality
    Monoclonal
  • Clone Name
    HL5024
  • Isotype
    IgG
  • Applications
    IHC-P IHC-P (cell pellet)
  • Reactivity
    Human, Mouse
See all Claudin 18.2 products