Claudin 18 antibody [HL5023]

Cat. No. GTX645116
Cat. No.  GTX645116
Anti-Claudin 18 antibody [HL5023] used in Western Blot (WB). GTX645116
GTX645116 WB Image

Non-transfected (–) and transfected (+) unboiled 293T whole cell extracts (30 μg) were separated by 12% SDS-PAGE, and the membrane was blotted with Claudin 18 antibody [HL5023] (GTX645116) diluted at 1:5000. The HRP-conjugated anti-rabbit IgG antibody (GTX213110-01) was used to detect the primary antibody.

1 / 2
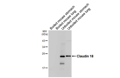
Anti-Claudin 18 antibody [HL5023] used in Western Blot (WB). GTX645116
GTX645116 WB Image

Boiled and unboiled various tissue extracts (50 μg) were separated by 12% SDS-PAGE, and the membrane was blotted with Claudin 18 antibody [HL5023] (GTX645116) diluted at 1:1000. The HRP-conjugated anti-rabbit IgG antibody (GTX213110-01) was used to detect the primary antibody, and the signal was developed with Trident femto Western HRP Substrate.

2 / 2
Anti-Claudin 18 antibody [HL5023] used in Western Blot (WB). GTX645116
Anti-Claudin 18 antibody [HL5023] used in Western Blot (WB). GTX645116
  • Host
    Rabbit
  • Clonality
    Monoclonal
  • Clone Name
    HL5023
  • Isotype
    IgG
  • Applications
    WB
  • Reactivity
    Human, Mouse
See all Claudin 18 products