Claudin 23 antibody, C-term

Cat. No. GTX77846
Cat. No.  GTX77846
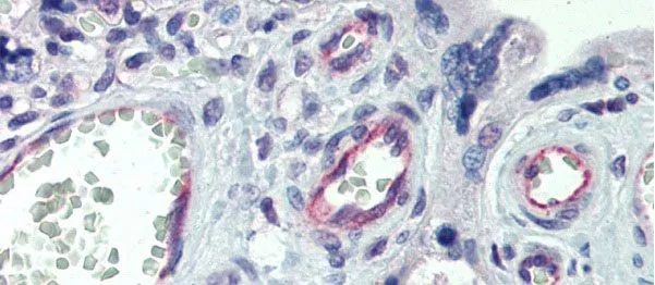
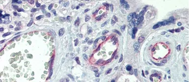
Anti-Claudin 23 antibody, C-term used in IHC (Paraffin sections) (IHC-P). GTX77846
GTX77846 IHC-P Image

IHC-P analysis of human placenta tissue using GTX77846 Claudin 23 antibody at 5μg/ml.

1 / 2
Anti-Claudin 23 antibody, C-term used in Western Blot (WB). GTX77846
GTX77846 WB Image

WB analysis of HepG2 cells using GTX77846 Claudin 23 antibody at 0.2-1μg/ml.

2 / 2
Anti-Claudin 23 antibody, C-term used in IHC (Paraffin sections) (IHC-P). GTX77846
Anti-Claudin 23 antibody, C-term used in Western Blot (WB). GTX77846
  • Host
    Rabbit
  • Clonality
    Polyclonal
  • Isotype
    IgG
  • Applications
    WB IHC-P
  • Reactivity
    Human
See all Claudin 23 products