Cofilin 1 (phospho Ser3) antibody

Cat. No. GTX12866
Cat. No.  GTX12866
Anti-Cofilin 1 (phospho Ser3) antibody used in Western Blot (WB). GTX12866
GTX12866 WB Image

Western blot analysis of extracts from COLO205 cells using cofilin antibody (Lane 1 and 2) and cofilin (phospho-Ser3) antibody (GTX12866, Lane 3 and 4)

1 / 2
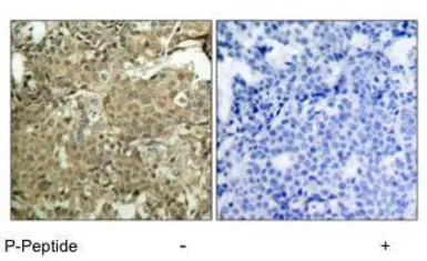
Anti-Cofilin 1 (phospho Ser3) antibody used in IHC (Paraffin sections) (IHC-P). GTX12866
GTX12866 IHC-P Image

IHC-P image using GTX12866 - Detection of Cofilin by IHC-P in human breast carcinoma tissue.

2 / 2
Anti-Cofilin 1 (phospho Ser3) antibody used in Western Blot (WB). GTX12866
Anti-Cofilin 1 (phospho Ser3) antibody used in IHC (Paraffin sections) (IHC-P). GTX12866
  • Host
    Rabbit
  • Clonality
    Polyclonal
  • Isotype
    IgG
  • Applications
    WB IHC-P
  • Reactivity
    Human, Mouse
See all Cofilin 1 products