Cortactin antibody [4C6]

Cat. No. GTX60419
Cat. No.  GTX60419
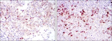
Anti-Cortactin antibody [4C6] used in IHC (Paraffin sections) (IHC-P). GTX60419
GTX60419 IHC-P Image

IHC-P analysis of cervical cancer tissue (left) and tonsil tissue (right) using GTX60419 Cortactin antibody [4C6].

1 / 3
Anti-Cortactin antibody [4C6] used in Western Blot (WB). GTX60419
GTX60419 WB Image

WB analysis of HeLa (1), A431 (2), MCF-7 (3), SR-BR-3 (4), HepG2 (5) and NIH3T3 (6) cell lysate using GTX60419 Cortactin antibody [4C6].

2 / 3
Anti-Cortactin antibody [4C6] used in ELISA (ELISA). GTX60419
GTX60419 ELISA Image

ELISA analysis of antigen using GTX60419 Cortactin antibody [4C6].
Red : Control antigen 100ng
Purple : Antigen 10ng
Green : Antigen 50ng
Blue : Antigen 100ng

3 / 3
Anti-Cortactin antibody [4C6] used in IHC (Paraffin sections) (IHC-P). GTX60419
Anti-Cortactin antibody [4C6] used in Western Blot (WB). GTX60419
Anti-Cortactin antibody [4C6] used in ELISA (ELISA). GTX60419
  • Host
    Mouse
  • Clonality
    Monoclonal
  • Clone Name
    4C6
  • Isotype
    IgG1
  • Applications
    WB IHC-P ELISA
  • Reactivity
    Human, Mouse
See all Cortactin products