CrkL antibody [GT466]

Cat. No. GTX634534
Cat. No.  GTX634534
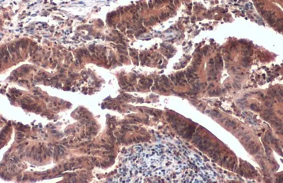
Anti-CrkL antibody [GT466] used in IHC (Paraffin sections) (IHC-P). GTX634534
GTX634534 IHC-P Image

CrkL antibody [GT466] detects CrkL protein at cytoplasm by immunohistochemical analysis.
Sample: Paraffin-embedded human colon cancer.
CrkL stained by CrkL antibody [GT466] (GTX634534) diluted at 1:500.
Antigen Retrieval: Citrate buffer, pH 6.0, 15 min

1 / 3
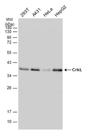
Anti-CrkL antibody [GT466] used in Western Blot (WB). GTX634534
GTX634534 WB Image

Various whole cell extracts (30 μg) were separated by 12% SDS-PAGE, and the membrane was blotted with CrkL antibody [GT466] (GTX634534) diluted at 1:5000. The HRP-conjugated anti-mouse IgG antibody (GTX213111-01) was used to detect the primary antibody.

2 / 3
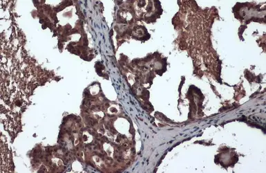
Anti-CrkL antibody [GT466] used in IHC (Paraffin sections) (IHC-P). GTX634534
GTX634534 IHC-P Image

CrkL antibody [GT466] detects CrkL protein at cytoplasm by immunohistochemical analysis.
Sample: Paraffin-embedded human ovarian cancer.
CrkL stained by CrkL antibody [GT466] (GTX634534) diluted at 1:500.
Antigen Retrieval: Citrate buffer, pH 6.0, 15 min

3 / 3
Anti-CrkL antibody [GT466] used in IHC (Paraffin sections) (IHC-P). GTX634534
Anti-CrkL antibody [GT466] used in Western Blot (WB). GTX634534
Anti-CrkL antibody [GT466] used in IHC (Paraffin sections) (IHC-P). GTX634534
  • Host
    Mouse
  • Clonality
    Monoclonal
  • Clone Name
    GT466
  • Isotype
    IgG2b
  • Applications
    WB IHC-P
  • Reactivity
    Human
See all CrkL products