CrkL antibody

Cat. No. GTX107677
Cat. No.  GTX107677
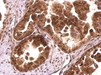
Anti-CrkL antibody used in IHC (Paraffin sections) (IHC-P). GTX107677
GTX107677 IHC-P Image

CrkL antibody detects CrkL protein at cytoplasm in human breast carcinoma by immunohistochemical analysis.
Sample: Paraffin-embedded human breast carcinoma.
CrkL antibody (GTX107677) diluted at 1:500.

Antigen Retrieval: Citrate buffer, pH 6.0, 15 min

1 / 8
Anti-CrkL antibody used in IHC (Paraffin sections) (IHC-P). GTX107677
GTX107677 IHC-P Image

CrkL antibody detects CrkL protein at cytosol and nucleus on human ovarian carcinoma by immunohistochemical analysis.
Sample: Paraffin-embedded human ovarian carcinoma.
CrkL antibody (GTX107677) dilution: 1:500.

Antigen Retrieval: Trilogy™ (EDTA based, pH 8.0) buffer, 15min

2 / 8
Anti-CrkL antibody used in IHC (Paraffin sections) (IHC-P). GTX107677
GTX107677 IHC-P Image

CrkL antibody detects CrkL protein at cytosol on human colon carcinoma by immunohistochemical analysis.
Sample: Paraffin-embedded human colon carcinoma.
CrkL antibody (GTX107677) dilution: 1:500.

Antigen Retrieval: Trilogy™ (EDTA based, pH 8.0) buffer, 15min

3 / 8
Anti-CrkL antibody used in Immunoprecipitation (IP). GTX107677
GTX107677 IP Image

Immunoprecipitation of CrkL protein from 293T whole cell extracts using 5 μg of CrkL antibody (GTX107677).
Western blot analysis was performed using CrkL antibody (GTX107677).
EasyBlot anti-Rabbit IgG (GTX221666-01) was used as a secondary reagent.

4 / 8
Anti-CrkL antibody used in Immunocytochemistry/ Immunofluorescence (ICC/IF). GTX107677
GTX107677 ICC/IF Image

CrkL antibody detects CrkL protein at cytoplasm and nucleus by immunofluorescent analysis.
Sample: HeLa cells were fixed in 4% paraformaldehyde at RT for 15 min.
Green: CrkL protein stained by CrkL antibody (GTX107677) diluted at 1:500.
Blue: Hoechst 33342 staining.
Scale bar = 10 μm.

5 / 8
Anti-CrkL antibody used in Western Blot (WB). GTX107677
GTX107677 WB Image

Various whole cell extracts (30 μg) were separated by 12% SDS-PAGE, and the membrane was blotted with CrkL antibody (GTX107677) diluted at 1:1000.

6 / 8
Anti-CrkL antibody used in Western Blot (WB). GTX107677
GTX107677 WB Image

Mouse tissue extract (50 μg) was separated by 12% SDS-PAGE, and the membrane was blotted with CrkL antibody (GTX107677) diluted at 1:1000. The HRP-conjugated anti-rabbit IgG antibody (GTX213110-01) was used to detect the primary antibody.

7 / 8
Anti-CrkL antibody used in Western Blot (WB). GTX107677
GTX107677 WB Image

The data was published in the 2020 in Front Mol Biosci. PMID: 33094104

8 / 8
Anti-CrkL antibody used in IHC (Paraffin sections) (IHC-P). GTX107677
Anti-CrkL antibody used in IHC (Paraffin sections) (IHC-P). GTX107677
Anti-CrkL antibody used in IHC (Paraffin sections) (IHC-P). GTX107677
Anti-CrkL antibody used in Immunoprecipitation (IP). GTX107677
Anti-CrkL antibody used in Immunocytochemistry/ Immunofluorescence (ICC/IF). GTX107677
Anti-CrkL antibody used in Western Blot (WB). GTX107677
Anti-CrkL antibody used in Western Blot (WB). GTX107677
Anti-CrkL antibody used in Western Blot (WB). GTX107677
  • Host
    Rabbit
  • Clonality
    Polyclonal
  • Isotype
    IgG
  • Applications
    WB ICC/IF IHC-P IP
  • Reactivity
    Human, Mouse
See all CrkL products