Cyclin A2 antibody

Cat. No. GTX103042
Cat. No.  GTX103042
Anti-Cyclin A2 antibody used in Western Blot (WB). GTX103042
GTX103042 WB Image

Untreated (–) and treated (+) HeLa whole cell extracts (30 μg) were separated by 10% SDS-PAGE, and the membrane was blotted with Cyclin A2 antibody (GTX103042) diluted at 1:1000. The HRP-conjugated anti-rabbit IgG antibody (GTX213110-01) was used to detect the primary antibody.

1 / 14
Anti-Cyclin A2 antibody used in Western Blot (WB). GTX103042
GTX103042 WB Image

Cyclin A2 antibody detects Cyclin A2 protein by western blot analysis. Various whole cell extracts (30 μg) were separated by 10% SDS-PAGE, and the membrane was blotted with Cyclin A2 antibody (GTX103042) diluted at a dilution of 1:1000. The HRP-conjugated anti-rabbit IgG antibody (GTX213110-01) was used to detect the primary antibody.

2 / 14
Anti-Cyclin A2 antibody used in Immunoprecipitation (IP). GTX103042
GTX103042 IP Image

Cyclin A2 antibody immunoprecipitates cyclin A2 protein in IP experiments. IP Sample: 1000 μg 293T whole cell lysate/extract A. 30 μg 293T whole cell lysate/extract B. Control with 2.5 μg of preimmune rabbit IgG C. Immunoprecipitation of Cyclin A2 protein by 2.5 μg of Cyclin A2 antibody (GTX103042) 10% SDS-PAGE The immunoprecipitated Cyclin A2 protein was detected by Cyclin A2 antibody (GTX103042) diluted at 1:1000. EasyBlot anti-rabbit IgG (GTX221666-01) was used as a secondary reagent.

3 / 14
Anti-Cyclin A2 antibody used in Western Blot (WB). GTX103042
GTX103042 WB Image

Various whole cell extracts (30 μg) were separated by 10% SDS-PAGE, and the membrane was blotted with Cyclin A2 antibody (GTX103042) diluted at 1:1000. The HRP-conjugated anti-rabbit IgG antibody (GTX213110-01) was used to detect the primary antibody.

4 / 14
Anti-Cyclin A2 antibody used in Western Blot (WB). GTX103042
GTX103042 WB Image

Cyclin A2 antibody detects CCNA2 protein by western blot analysis.
A. 30 μg PC-12 whole cell lysate/extract
10% SDS-PAGE
Cyclin A2 antibody (GTX103042) dilution: 1:1000
The HRP-conjugated anti-rabbit IgG antibody (GTX213110-01) was used to detect the primary antibody.

5 / 14
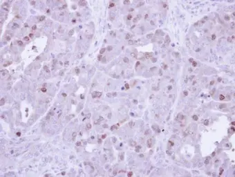
Anti-Cyclin A2 antibody used in IHC (Paraffin sections) (IHC-P). GTX103042
GTX103042 IHC-P Image

Immunohistochemical analysis of paraffin-embedded NCIN87 Xenograft, using cyclin A (GTX103042) antibody at 1:500 dilution.
Antigen Retrieval: Trilogy™ (EDTA based, pH 8.0) buffer, 15min

6 / 14
Anti-Cyclin A2 antibody used in Western Blot (WB). GTX103042
GTX103042 WB Image

Cyclin A2 antibody detects CCNA2 protein by western blot analysis.
A. 30 μg Neuro2A whole cell lysate/extract
10% SDS-PAGE
Cyclin A2 antibody (GTX103042) dilution: 1:1000
The HRP-conjugated anti-rabbit IgG antibody (GTX213110-01) was used to detect the primary antibody.

7 / 14
Anti-Cyclin A2 antibody used in Immunocytochemistry/ Immunofluorescence (ICC/IF). GTX103042
GTX103042 ICC/IF Image

Cyclin A2 antibody detects Cyclin A2 protein at nucleus by immunofluorescent analysis.
Sample: HeLa cells were fixed in 4% paraformaldehyde at RT for 15 min.
Green: Cyclin A2 stained by Cyclin A2 antibody (GTX103042) diluted at 1:500.
Red: phalloidin, a cytoskeleton marker, diluted at 1:100.
Scale bar= 10 μm.

8 / 14
Anti-Cyclin A2 antibody used in Western Blot (WB). GTX103042
GTX103042 WB Image

The data was published in the journal Sci Rep in 2017. PMID: 28134285

9 / 14
Anti-Cyclin A2 antibody used in Western Blot (WB). GTX103042
GTX103042 WB Image

The data was published in the journal PLoS One in 2014. PMID: 25105411

10 / 14
Anti-Cyclin A2 antibody used in Western Blot (WB). GTX103042
GTX103042 WB Image

The data was published in the journal Cancer Cell Int in 2014. PMID: 24393431

11 / 14
Anti-Cyclin A2 antibody used in Western Blot (WB). GTX103042
GTX103042 WB Image

The data was published in the journal Sci Rep in 2020.PMID: 31980707

12 / 14
Anti-Cyclin A2 antibody used in Western Blot (WB). GTX103042
GTX103042 WB Image

The data was published in the journal Sci Rep in 2020.PMID: 31980707

13 / 14
Anti-Cyclin A2 antibody used in Western Blot (WB). GTX103042
GTX103042 WB Image

The data was published in the journal Oncotarget in 2019.PMID: 30719233

14 / 14
Anti-Cyclin A2 antibody used in Western Blot (WB). GTX103042
Anti-Cyclin A2 antibody used in Western Blot (WB). GTX103042
Anti-Cyclin A2 antibody used in Immunoprecipitation (IP). GTX103042
Anti-Cyclin A2 antibody used in Western Blot (WB). GTX103042
Anti-Cyclin A2 antibody used in Western Blot (WB). GTX103042
Anti-Cyclin A2 antibody used in IHC (Paraffin sections) (IHC-P). GTX103042
Anti-Cyclin A2 antibody used in Western Blot (WB). GTX103042
Anti-Cyclin A2 antibody used in Immunocytochemistry/ Immunofluorescence (ICC/IF). GTX103042
Anti-Cyclin A2 antibody used in Western Blot (WB). GTX103042
Anti-Cyclin A2 antibody used in Western Blot (WB). GTX103042
Anti-Cyclin A2 antibody used in Western Blot (WB). GTX103042
Anti-Cyclin A2 antibody used in Western Blot (WB). GTX103042
Anti-Cyclin A2 antibody used in Western Blot (WB). GTX103042
Anti-Cyclin A2 antibody used in Western Blot (WB). GTX103042
  • Host
    Rabbit
  • Clonality
    Polyclonal
  • Isotype
    IgG
  • Applications
    WB ICC/IF IHC-P IP
  • Reactivity
    Human, Mouse, Rat, African green monkey
See all Cyclin A2 products