Cyclin B1 (phospho Ser126) antibody

Cat. No. GTX55085
Cat. No.  GTX55085
Anti-Cyclin B1 (phospho Ser126) antibody used in Western Blot (WB). GTX55085
GTX55085 WB Image

WB analysis of nocodazole-treated HT29 (A), Jurkat (B), HeLa (C), Raw264.7 (D) whole cell lysates using GTX55085 Cyclin B1 (phospho Ser126) antibody.

1 / 2
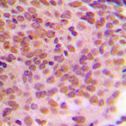
Anti-Cyclin B1 (phospho Ser126) antibody used in IHC (Paraffin sections) (IHC-P). GTX55085
GTX55085 IHC-P Image

IHC-P analysis of formalin fixed human breast cancer tissue section using GTX55085 Cyclin B1 (phospho Ser126) antibody.
Antigen retrieval : Heat mediated antigen retrieval with sodium citrate buffer (pH 6.0)

2 / 2
Anti-Cyclin B1 (phospho Ser126) antibody used in Western Blot (WB). GTX55085
Anti-Cyclin B1 (phospho Ser126) antibody used in IHC (Paraffin sections) (IHC-P). GTX55085
  • Host
    Rabbit
  • Clonality
    Polyclonal
  • Isotype
    IgG
  • Applications
    WB IHC-P
  • Reactivity
    Human, Mouse
See all Cyclin B1 products