Cyclin I antibody

Cat. No. GTX125940
Cat. No.  GTX125940
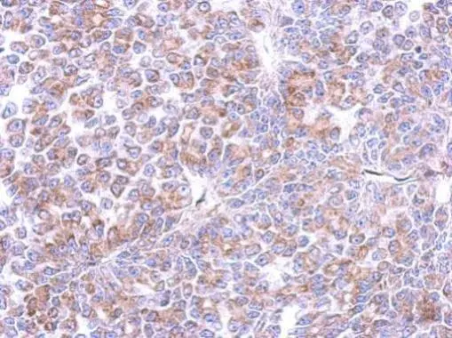
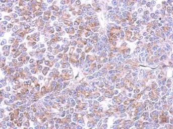
Anti-Cyclin I antibody used in IHC (Paraffin sections) (IHC-P). GTX125940
GTX125940 IHC-P Image

Immunohistochemical analysis of paraffin-embedded RF48 xenograft, using cyclin I antibody(GTX125940) antibody at 1:500 dilution.
Antigen Retrieval: Trilogy™ (EDTA based, pH 8.0) buffer, 15min

1 / 2
Anti-Cyclin I antibody used in Western Blot (WB). GTX125940
GTX125940 WB Image

Sample (30 ug of whole cell lysate)
A: HCT116
10% SDS PAGE
GTX125940 diluted at 1:1000

2 / 2
Anti-Cyclin I antibody used in IHC (Paraffin sections) (IHC-P). GTX125940
Anti-Cyclin I antibody used in Western Blot (WB). GTX125940
  • Host
    Rabbit
  • Clonality
    Polyclonal
  • Isotype
    IgG
  • Applications
    WB IHC-P
  • Reactivity
    Human
See all Cyclin I products