Cyclophilin A antibody

Cat. No. GTX55581
Cat. No.  GTX55581
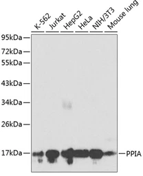
Anti-Cyclophilin A antibody used in Western Blot (WB). GTX55581
GTX55581 WB Image

WB analysis of various sample lysates using GTX55581 Cyclophilin A antibody.
Dilution : 1:1000
Loading : 25μg per lane

1 / 1
Anti-Cyclophilin A antibody used in Western Blot (WB). GTX55581
  • Host
    Rabbit
  • Clonality
    Polyclonal
  • Isotype
    IgG
  • Applications
    WB
  • Reactivity
    Human, Mouse
See all Cyclophilin A products